• Tel: 858.663.9055
  • SeparatorEmail: info@nsjbio.com
  • Tel: 858.663.9055
  • Email: info@nsjbio.com
Home >> Antibodies >> Fascin Antibody

Fascin Antibody (R32251)

  Catalog No Formulation Size Price (USD)  
Image R32251 0.5mg/ml if reconstituted with 0.2ml sterile DI water 100 ug 439
Bulk quote request
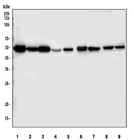
Western blot testing of 1) human SH-SY5Y, 2) human HeLa, 3) human K562, 4) human A549, 5) human HepG2, 6) human PC-3, 7) rat brain, 8) mouse brain and 9) mouse NIH 3T3 cell lysate with Fascin antibody. Predicted molecular weight ~55 kDa.
Availability 1-3 business days
Species Reactivity Human, Mouse, Rat
Format Antigen affinity purified
Clonality Polyclonal (rabbit origin)
Isotype Rabbit IgG
Purity Antigen affinity
Buffer Lyophilized from 1X PBS with 2% Trehalose
UniProt Q16658
Applications Western Blot : 0.5-1ug/ml
Limitations This Fascin antibody is available for research use only.
Review this product on BioCompare and get a $20 Amazon gift card

Related Products

Description

Organizes filamentous actin into bundles with a minimum of 4.1:1 actin/fascin ratio. Plays a role in the organization of actin filament bundles and the formation of microspikes, membrane ruffles, and stress fibers. Important for the formation of a diverse set of cell protrusions, such as filopodia, and for cell motility and migration. [UniProt]

Abnormal fascin expression or function has been implicated in breast cancer, colon cancer, esophageal squamous cell carcinoma, gallbladder cancer and prostate cancer.

Application Notes

Optimal dilution of the Fascin antibody should be determined by the researcher.

Immunogen

Amino acids KKQIWTLEQPPDEAGSAAVCLRSHLGRYLAAD of human Fascin were used as the immunogen for the Fascin antibody.

Storage

After reconstitution, the Fascin antibody can be stored for up to one month at 4oC. For long-term, aliquot and store at -20oC. Avoid repeated freezing and thawing.

Cross
Bulk Quote Request Form
Name*:
Organization*:
Email*:
Phone Number*:
Catalog No.*:
Comments and Specifics(amount, formulation, etc.)*:
Validation code: Captchapackage Image


Can't read the image? click here to refresh.
    *required field

Your bulk quote request has been submitted successfully!

Please contact us if you have any questions.