• Tel: 858.663.9055
  • SeparatorEmail: info@nsjbio.com
  • Tel: 858.663.9055
  • Email: info@nsjbio.com
Home >> Antibodies >> Fascin Antibody

Fascin Antibody [clone FSCN1/418] (V2865)

  Catalog No Formulation Size Price (USD)  
Image V2865-100UG 0.2 mg/ml in 1X PBS with 0.1 mg/ml BSA (US sourced) and 0.05% sodium azide 100 ug 539
Image
V2865-20UG 0.2 mg/ml in 1X PBS with 0.1 mg/ml BSA (US sourced) and 0.05% sodium azide 20 ug 249
Image
V2865SAF-100UG 1 mg/ml in 1X PBS; BSA free, sodium azide free 100 ug 539
Image
V2865IHC-7ML Prediluted in 1X PBS with 0.1 mg/ml BSA (US sourced) and 0.05% sodium azide; *For IHC use only* 7 ml 539
Bulk quote request
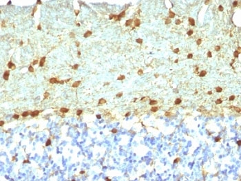
IHC: Formalin-fixed, paraffin-embedded rat brain stained with Fascin antibody (FSCN1/418)
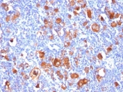
IHC: Formalin-fixed, paraffin-embedded human Hodgkin's lymphoma stained with Fascin antibody (FSCN1/418)
Availability 1-3 business days
Species Reactivity Human, Rat
Format Purified
Clonality Monoclonal (mouse origin)
Isotype Mouse IgG2b, kappa
Clone Name FSCN1/418
Purity Protein G affinity chromatography
UniProt Q16658
Localization Cytoplasmic
Applications Western Blot : 1-2ug/ml
Flow Cytometry : 0.5-1ug/10^6 cells
Immunofluorescence : 1-2ug/ml
Immunohistochemistry (FFPE) : 0.5-1ug/ml for 30 min at RT
Limitations This Fascin antibody is available for research use only.
Review this product on BioCompare and get a $20 Amazon gift card

Related Products

Description

Fascin/FSCN1 binds beta-catenin and colocalizes with it at the leading edges and borders of epithelial and endothelial cells. The role of FSCN1 in regulating cytoskeletal structures for the maintenance of cell adhesion, coordinating motility and invasion through interactions with signalling pathways is an active area of research especially from the cancer biology perspective. It localizes to actin-rich protrusions at the cell surface called filopodia. FSCN1 localizes to invadopodia, membrane protrusions formed at the adherent cell surface that facilitate extracellular matrix (ECM) invasion, this provide a potential molecular mechanism for how fascin increases the invasiveness of cancer cells since fascin expression is upregulated in a spectrum of cancers. [Wiki]

Application Notes

Optimal dilution of the Fascin antibody should be determined by the researcher.

1. Staining of formalin-fixed tissues requires boiling tissue sections in 1mM EDTA, pH 8.0, for 10-20 min followed by cooling at RT for 20 min.
2. The prediluted format is supplied in a dropper bottle and is optimized for use in IHC. After epitope retrieval step (if required), drip mAb solution onto the tissue section and incubate at RT for 30 min.

Immunogen

Full length recombinant human protein was used as the immunogen for the Fascin antibody.

Storage

Store the Fascin antibody at 2-8oC (with azide) or aliquot and store at -20oC or colder (without azide).

Cross
Bulk Quote Request Form
Name*:
Organization*:
Email*:
Phone Number*:
Catalog No.*:
Comments and Specifics(amount, formulation, etc.)*:
Validation code: Captchapackage Image


Can't read the image? click here to refresh.
    *required field

Your bulk quote request has been submitted successfully!

Please contact us if you have any questions.