• Tel: 858.663.9055
  • SeparatorEmail: info@nsjbio.com
  • Tel: 858.663.9055
  • Email: info@nsjbio.com
Home >> Antibodies >> FAP Antibody / Fibroblast Activation Protein Alpha

FAP Antibody / Fibroblast Activation Protein Alpha [clone FAP/4854] (V9498)

  Catalog No Formulation Size Price (USD)  
Image V9498-100UG 0.2 mg/ml in 1X PBS with 0.1 mg/ml BSA (US sourced), 0.05% sodium azide 100 ug 539
Image
V9498-20UG 0.2 mg/ml in 1X PBS with 0.1 mg/ml BSA (US sourced), 0.05% sodium azide 20 ug 249
Image
V9498SAF-100UG 1 mg/ml in 1X PBS; BSA free, sodium azide free 100 ug 539
Microvalidated
Bulk quote request
Analysis of HuProt(TM) microarray containing more than 19,000 full-length human proteins using FAP antibody (clone FAP/4854). These results demonstrate the foremost specificity of the FAP/4854 mAb. Z- and S- score: The Z-score represents the strength of a signal that an antibody (in combination with a fluorescently-tagged anti-IgG secondary Ab) produces when binding to a particular protein on the HuProt(TM) array. Z-scores are described in units of standard deviations (SD's) above the mean value of all signals generated on that array. If the targets on the HuProt(TM) are arranged in descending order of the Z-score, the S-score is the difference (also in units of SD's) between the Z-scores. The S-score therefore represents the relative target specificity of an Ab to its intended target.
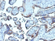
IHC staining of FFPE human placental tissue with FAP antibody (clone FAP/4854). HIER: boil tissue sections in pH 9 10mM Tris with 1mM EDTA for 20 min and allow to cool before testing.
Availability 1-3 business days
Species Reactivity Human
Format Purified
Clonality Monoclonal (mouse origin)
Isotype Mouse IgG2c, kappa
Clone Name FAP/4854
Purity Protein A/G affinity
UniProt Q12884
Localization Cell surface, Cell membrane
Applications Immunohistochemistry (FFPE) : 1-2ug/ml
Limitations This FAP antibody is available for research use only.
Review this product on BioCompare and get a $20 Amazon gift card

Related Products

Description

FAP (fibroblast activation protein) is a cell surface glycoprotein and serine protease that is expressed primarily in fetal mesenchymal tissues and epithelial cancer fibroblasts. In cancer, FAP functions to promote cellular proliferation. In embryonic development, FAP functions to remodel developing tissues. FAP acts as an integral membrane gelatinase composed of N-glycosylated proteolytically inactive subunits. FAP expression on chondrocyte membranes is upregulated by the combination of the cytokines IL-1 and OSM and has been shown to increase in osteoarthritic patients. This expression is colocalized with MMP-1 and MMP-13 as well as CD44 (variants v3 and v7/8). Mice that lack all copies of the FAP gene have been found to be fertile and to have developmental defects or change in cancer susceptibility.

Application Notes

Optimal dilution of the FAP antibody should be determined by the researcher.

Immunogen

A portion of amino acids 1-200 was used as the immunogen for the FAP antibody.

Storage

Aliquot the FAP antibody and store frozen at -20oC or colder. Avoid repeated freeze-thaw cycles.

Cross
Bulk Quote Request Form
Name*:
Organization*:
Email*:
Phone Number*:
Catalog No.*:
Comments and Specifics(amount, formulation, etc.)*:
Validation code: Captchapackage Image


Can't read the image? click here to refresh.
    *required field

Your bulk quote request has been submitted successfully!

Please contact us if you have any questions.