• Tel: 858.663.9055
  • SeparatorEmail: info@nsjbio.com
  • Tel: 858.663.9055
  • Email: info@nsjbio.com
Home >> Antibodies >> FAM50A Antibody / Family with sequence similarity 50 member A

FAM50A Antibody / Family with sequence similarity 50 member A [clone 30F36] (FY12219)

  Catalog No Formulation Size Price (USD)  
Image FY12219 Rabbit IgG in phosphate buffered saline, pH 7.4, 150mM NaCl, 0.02% sodium azide and 50% glycerol, 0.4-0.5mg/ml BSA 100 ul 439
Microvalidated Recrabbitmono
Bulk quote request
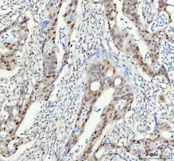
Immunohistochemical staining of FAM50A using anti-FAM50A antibody. FAM50A was detected in a paraffin-embedded section of human colorectal adenocarcinoma tissue. Heat mediated antigen retrieval was performed in EDTA buffer (pH 8.0, epitope retrieval solution). The tissue section was blocked with 10% goat serum. The tissue section was then incubated with 1:50 rabbit anti-FAM50A antibody overnight at 4oC. Peroxidase Conjugated Goat Anti-rabbit IgG was used as secondary antibody and incubated for 30 minutes at 37oC. The tissue section was developed using an HRP secondary and DAB substrate.
Western blot analysis of FAM50A using anti-FAM50A antibody. Lane 1: human Hela whole cell lysates, Lane 2: human U251 whole cell lysates, Lane 3: human MCF-7 whole cell lysates, Lane 4: human whole cell lysates, Lane 5: rat brain tissue lysates, Lane 6: rat PC-12 whole cell lysates, Lane 7: mouse brain tissue lysates, Lane 8: mouse RAW264.7 whole cell lysates. After electrophoresis, proteins were transferred to a nitrocellulose membrane at 150 mA for 50-90 minutes. Blocked the membrane with 5% non-fat milk/TBS for 1.5 hour at RT. The membrane was incubated with rabbit anti-FAM50A antibody at 1:500 overnight at 4oC, then washed with TBS-0.1%Tween 3 times with 5 minutes each and probed with a goat anti-rabbit IgG-HRP secondary antibody at a dilution of 1:1000 for 1.5 hour at RT. The signal was developed using enhanced chemiluminescent. A specific band was detected for FAM50A at approximately 40 kDa. The expected band size for FAM50A is at 40 kDa.
Immunohistochemical staining of FAM50A using anti-FAM50A antibody. FAM50A was detected in a paraffin-embedded section of human spleen tissue. Heat mediated antigen retrieval was performed in EDTA buffer (pH 8.0, epitope retrieval solution). The tissue section was blocked with 10% goat serum. The tissue section was then incubated with 1:50 rabbit anti-FAM50A antibody overnight at 4oC. Peroxidase Conjugated Goat Anti-rabbit IgG was used as secondary antibody and incubated for 30 minutes at 37oC. The tissue section was developed using an HRP secondary and DAB substrate.
Immunohistochemical staining of FAM50A using anti-FAM50A antibody. FAM50A was detected in a paraffin-embedded section of human thyroid cancer tissue. Heat mediated antigen retrieval was performed in EDTA buffer (pH 8.0, epitope retrieval solution). The tissue section was blocked with 10% goat serum. The tissue section was then incubated with 1:50 rabbit anti-FAM50A antibody overnight at 4oC. Peroxidase Conjugated Goat Anti-rabbit IgG was used as secondary antibody and incubated for 30 minutes at 37oC. The tissue section was developed using an HRP secondary and DAB substrate.
Availability 2-3 weeks
Species Reactivity Human, Mouse, Rat
Format Liquid
Clonality Recombinant Rabbit Monoclonal
Isotype Rabbit IgG
Clone Name 30F36
Purity Affinity-chromatography
Buffer Rabbit IgG in phosphate buffered saline, pH 7.4, 150mM NaCl, 0.02% sodium azide and 50% glycerol, 0.4-0.5mg/ml BSA.
UniProt Q14320
Applications Western Blot : 1:500-1:2000
Immunohistochemistry : 1:50-1:200
Immunocytochemistry/Immunofluorescence : 1:50-1:200
Limitations This FAM50A antibody is available for research use only.
Review this product on BioCompare and get a $20 Amazon gift card

Description

FAM50A antibody detects family with sequence similarity 50 member A, a nuclear protein involved in RNA processing and gene expression regulation. FAM50A is ubiquitously expressed and localized primarily to the nucleoplasm, where it associates with spliceosomal components and contributes to pre-mRNA splicing. Though relatively understudied compared to other RNA-binding proteins, evidence suggests FAM50A plays an important role in transcriptional control and cellular homeostasis.

Research using FAM50A antibody has linked the protein to development and disease. Genetic studies reveal that mutations in FAM50A cause Armfield X-linked intellectual disability syndrome, characterized by developmental delay, dysmorphic features, and neurobehavioral abnormalities. The disorder underscores FAM50A's significance in neurodevelopment and proper RNA processing. Knockout models further demonstrate embryonic lethality or severe neurological phenotypes, confirming its essential role.

Beyond development, FAM50A has been implicated in cancer biology. Altered expression is observed in several tumor types, where it may influence splicing decisions and transcriptional programs that favor proliferation. Transcriptome studies suggest that dysregulation of FAM50A perturbs global RNA processing networks, contributing to oncogenic transformation.

At the molecular level, FAM50A interacts with spliceosome-associated proteins, ribonucleoprotein complexes, and chromatin regulators. These interactions suggest a broader role in coupling transcription to RNA maturation. Additional evidence connects FAM50A to cell cycle control, where depletion disrupts proliferation and induces apoptosis.

Antibodies against FAM50A are validated for western blot, immunohistochemistry, and immunofluorescence. These reagents enable detection of FAM50A in tissue and cell culture, supporting research into RNA biology, neurodevelopment, and tumorigenesis. Clone-based antibodies ensure reproducibility and specificity across experimental conditions.

NSJ Bioreagents offers this FAM50A antibody for research into RNA processing, gene regulation, and disease.

Application Notes

Optimal dilution of the FAM50A antibody should be determined by the researcher.

Immunogen

A synthesized peptide derived from human FAM50A was used as the immunogen for the FAM50A antibody.

Storage

Store the FAM50A antibody at -20oC.

Cross
Bulk Quote Request Form
Name*:
Organization*:
Email*:
Phone Number*:
Catalog No.*:
Comments and Specifics(amount, formulation, etc.)*:
Validation code: Captchapackage Image


Can't read the image? click here to refresh.
    *required field

Your bulk quote request has been submitted successfully!

Please contact us if you have any questions.