• Tel: 858.663.9055
  • SeparatorEmail: info@nsjbio.com
  • Tel: 858.663.9055
  • Email: info@nsjbio.com
Home >> Antibodies >> FAM129B Antibody / MINERVA / NIBAN2

FAM129B Antibody / MINERVA / NIBAN2 (RQ6569)

  Catalog No Formulation Size Price (USD)  
Image RQ6569 0.5mg/ml if reconstituted with 0.2ml sterile DI water 100 ug 439
Bulk quote request
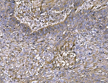
IHC staining of FFPE human lung cancer tissue with FAM129B antibody. HIER: boil tissue sections in pH8 EDTA for 20 min and allow to cool before testing.
IHC staining of FFPE human placental tissue with FAM129B antibody. HIER: boil tissue sections in pH8 EDTA for 20 min and allow to cool before testing.
Western blot testing of 1) human HeLa, 2) human RT4, 3) rat stomach, 4) rat C6, 5) mouse stomach and 6) mouse NIH 3T3 cell lysate with FAM129B antibody. Predicted molecular weight ~84 kDa.
Flow cytometry testing of human HeLa cells with FAM129B antibody at 1ug/million cells (blocked with goat sera); Red=cells alone, Green=isotype control, Blue= FAM129B antibody.
Availability 1-3 business days
Species Reactivity Human
Format Antigen affinity purified
Clonality Polyclonal (rabbit origin)
Isotype Rabbit IgG
Purity Affinity purified
Buffer Lyophilized from 1X PBS with 2% Trehalose
UniProt Q96TA1
Localization Cytoplasmic
Applications Western Blot : 1-2ug/ml
Immunohistochemistry (FFPE) : 2-5ug/ml
Flow Cytometry : 1-3ug/million cells
Direct ELISA : 0.1-0.5ug/ml
Limitations This FAM129B antibody is available for research use only.
Review this product on BioCompare and get a $20 Amazon gift card

Description

FAM129B/Niban-like protein 1 (family with sequence similarity 129, member B) belongs to a poorly characterized family of Niban proteins that also includes FAM129A/Niban and FAM129C/Niban-like protein 2. FAM129A/Niban is implicated in the ER stress response and is upregulated at the protein level in thyroid carcinoma. FAM129C/Niban-like protein 2 is preferentially expressed in B-cells and is one of five biomarkers upregulated in whole blood from patients with colorectal carcinoma. FAM129B is broadly expressed and has been shown to be a downstream target of B-Raf in melanoma cells. Though FAM129B does not appear to regulate cell growth and division, phosphorylation of FAM129B by B-Raf is essential for the invasive potential of melanoma and non-melanoma cell lines. Deletion of FAM129B in melanoma cells significantly impairs B-Raf/MEK/Erk-dependent invasion into the extracellular matrix.

Application Notes

Optimal dilution of the FAM129B antibody should be determined by the researcher.

Immunogen

An E. coli-derived human protein (amino acids K23-K561) was used as the immunogen for the FAM129B antibody.

Storage

After reconstitution, the FAM129B antibody can be stored for up to one month at 4oC. For long-term, aliquot and store at -20oC. Avoid repeated freezing and thawing.

Cross
Bulk Quote Request Form
Name*:
Organization*:
Email*:
Phone Number*:
Catalog No.*:
Comments and Specifics(amount, formulation, etc.)*:
Validation code: Captchapackage Image


Can't read the image? click here to refresh.
    *required field

Your bulk quote request has been submitted successfully!

Please contact us if you have any questions.