• Tel: 858.663.9055
  • SeparatorEmail: info@nsjbio.com
  • Tel: 858.663.9055
  • Email: info@nsjbio.com
Home >> Antibodies >> FAM111B Antibody / Serine protease FAM111B

FAM111B Antibody / Serine protease FAM111B (FY12234)

  Catalog No Formulation Size Price (USD)  
Image FY12234 Adding 0.2 ml of distilled water will yield a concentration of 500 ug/ml 100 ug 439
Bulk quote request
Western blot analysis of FAM111B using anti-FAM111B antibody. Lane 1: human whole cell lysates, Lane 2: human Hacat whole cell lysates, Lane 3: human RT4 whole cell lysates, Lane 4: human U2OS whole cell lysates. After electrophoresis, proteins were transferred to a nitrocellulose membrane at 150 mA for 50-90 minutes. Blocked the membrane with 5% non-fat milk/TBS for 1.5 hour at RT. The membrane was incubated with rabbit anti-FAM111B antibody at 0.5 ug/ml overnight at 4oC, then washed with TBS-0.1%Tween 3 times with 5 minutes each and probed with a goat anti-rabbit IgG-HRP secondary antibody at a dilution of 1:5000 for 1.5 hour at RT. The signal was developed using enhanced chemiluminescent. A specific band was detected for FAM111B at approximately 85 kDa. The expected band size for FAM111B is at 85 kDa.
Western blot analysis of FAM111B using anti-FAM111B antibody. Lane 1: human PC-3 whole cell lysates, Lane 2: human Hela whole cell lysates, Lane 3: human MCF-7 whole cell lysates. After electrophoresis, proteins were transferred to a nitrocellulose membrane at 150 mA for 50-90 minutes. Blocked the membrane with 5% non-fat milk/TBS for 1.5 hour at RT. The membrane was incubated with rabbit anti-FAM111B antibody at 0.5 ug/ml overnight at 4oC, then washed with TBS-0.1%Tween 3 times with 5 minutes each and probed with a goat anti-rabbit IgG-HRP secondary antibody at a dilution of 1:5000 for 1.5 hour at RT. The signal was developed using enhanced chemiluminescent. A specific band was detected for FAM111B at approximately 85 kDa. The expected band size for FAM111B is at 85 kDa.
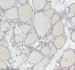
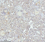
Immunohistochemical staining of FAM111B using anti-FAM111B antibody. FAM111B was detected in a paraffin-embedded section of follicles of human thyroid cancer tissue. Heat mediated antigen retrieval was performed in EDTA buffer (pH 8.0, epitope retrieval solution). The tissue section was blocked with 10% goat serum. The tissue section was then incubated with 2 ug/ml rabbit anti-FAM111B antibody overnight at 4oC. Peroxidase Conjugated Goat Anti-rabbit IgG was used as secondary antibody and incubated for 30 minutes at 37oC. The tissue section was developed using an HRP secondary and DAB substrate.
Immunohistochemical staining of FAM111B using anti-FAM111B antibody. FAM111B was detected in a paraffin-embedded section of follicles of human thyroid cancer tissue. Heat mediated antigen retrieval was performed in EDTA buffer (pH 8.0, epitope retrieval solution). The tissue section was blocked with 10% goat serum. The tissue section was then incubated with 2 ug/ml rabbit anti-FAM111B antibody overnight at 4oC. Peroxidase Conjugated Goat Anti-rabbit IgG was used as secondary antibody and incubated for 30 minutes at 37oC. The tissue section was developed using an HRP secondary and DAB substrate.
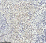
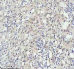
Immunohistochemical staining of FAM111B using anti-FAM111B antibody. FAM111B was detected in a paraffin-embedded section of human bladder cancer tissue. Heat mediated antigen retrieval was performed in EDTA buffer (pH 8.0, epitope retrieval solution). The tissue section was blocked with 10% goat serum. The tissue section was then incubated with 2 ug/ml rabbit anti-FAM111B antibody overnight at 4oC. Peroxidase Conjugated Goat Anti-rabbit IgG was used as secondary antibody and incubated for 30 minutes at 37oC. The tissue section was developed using an HRP secondary and DAB substrate.
Immunohistochemical staining of FAM111B using anti-FAM111B antibody. FAM111B was detected in a paraffin-embedded section of human bladder cancer tissue. Heat mediated antigen retrieval was performed in EDTA buffer (pH 8.0, epitope retrieval solution). The tissue section was blocked with 10% goat serum. The tissue section was then incubated with 2 ug/ml rabbit anti-FAM111B antibody overnight at 4oC. Peroxidase Conjugated Goat Anti-rabbit IgG was used as secondary antibody and incubated for 30 minutes at 37oC. The tissue section was developed using an HRP secondary and DAB substrate.
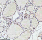
Immunohistochemical staining of FAM111B using anti-FAM111B antibody. FAM111B was detected in a paraffin-embedded section of human thyroid cancer tissue. Heat mediated antigen retrieval was performed in EDTA buffer (pH 8.0, epitope retrieval solution). The tissue section was blocked with 10% goat serum. The tissue section was then incubated with 2 ug/ml rabbit anti-FAM111B antibody overnight at 4oC. Peroxidase Conjugated Goat Anti-rabbit IgG was used as secondary antibody and incubated for 30 minutes at 37oC. The tissue section was developed using an HRP secondary and DAB substrate.
Immunohistochemical staining of FAM111B using anti-FAM111B antibody. FAM111B was detected in a paraffin-embedded section of human thyroid cancer tissue. Heat mediated antigen retrieval was performed in EDTA buffer (pH 8.0, epitope retrieval solution). The tissue section was blocked with 10% goat serum. The tissue section was then incubated with 2 ug/ml rabbit anti-FAM111B antibody overnight at 4oC. Peroxidase Conjugated Goat Anti-rabbit IgG was used as secondary antibody and incubated for 30 minutes at 37oC. The tissue section was developed using an HRP secondary and DAB substrate.
Flow Cytometry analysis of MCF-7 cells using anti-FAM111B antibody. Overlay histogram showing MCF-7 cells stained with (Blue line). To facilitate intracellular staining, cells were fixed with 4% paraformaldehyde and permeabilized with permeabilization buffer. The cells were blocked with 10% normal goat serum. And then incubated with rabbit anti-FAM111B antibody (1 ug/million cells) for 30 min at 20oC. DyLight 488 conjugated goat anti-rabbit IgG (5-10 ug/million cells) was used as secondary antibody for 30 minutes at 20oC. Isotype control antibody (Green line) was rabbit IgG (1 ug/million cells) used under the same conditions. Unlabelled sample (Red line) was also used as a control.
Availability 1-2 days
Species Reactivity Human
Format Lyophilized
Clonality Polyclonal (rabbit origin)
Isotype Rabbit IgG
Purity Immunogen affinity purified
Buffer Each vial contains 4 mg Trehalose, 0.9 mg NaCl, 0.2 mg Na2HPO4.
UniProt Q6SJ93
Applications Western Blot : 0.25-0.5ug/ml
Immunohistochemistry : 2-5ug/ml
Flow Cytometry : 1-3ug/million cells
ELISA : 0.1-0.5ug/ml
Limitations This FAM111B antibody is available for research use only.
Review this product on BioCompare and get a $20 Amazon gift card

Description

FAM111B antibody detects Serine protease FAM111B, encoded by the FAM111B gene on chromosome 11q12.1. FAM111B antibody is used in research on DNA replication, cell cycle regulation, and genetic disease. FAM111B is a serine protease-like protein that interacts with DNA replication machinery, where it regulates chromatin accessibility and replication progression. Expression is broad across tissues, with enrichment in proliferating cells, consistent with its cell cycle roles.

Structurally, FAM111B is a ~75 kDa protein containing a trypsin-like serine protease domain, though the catalytic activity remains incompletely defined. It also features domains mediating chromatin association and interactions with replication factors. Alternative splicing produces isoforms with potentially distinct regulatory functions.

Functionally, FAM111B contributes to DNA replication by regulating replisome assembly and progression. It also appears to restrict viral replication, consistent with emerging roles in antiviral defense. Knockdown of FAM111B causes replication stress, chromatin instability, and impaired cell proliferation. Researchers use FAM111B antibody to investigate DNA replication, chromatin biology, and cell cycle control.

Clinically, mutations in FAM111B cause hereditary fibrosing poikiloderma, a multisystem disorder characterized by fibrosis, skin abnormalities, and increased cancer risk. These mutations often occur in the protease-like domain, altering protein stability and function. FAM111B has also been implicated in cancer, where altered expression contributes to tumorigenesis and response to therapy. As DNA replication is a critical process in cancer cells, FAM111B represents a potential therapeutic target. NSJ Bioreagents supplies FAM111B antibody for genetic disease, cancer, and replication biology research.

Experimentally, FAM111B antibody is used in western blotting to detect the ~85 kDa protein, in immunofluorescence to assess nuclear localization, and in immunohistochemistry to analyze tissue expression. Co-immunoprecipitation with FAM111B antibody identifies replication factors and chromatin-associated proteins.

Application Notes

Optimal dilution of the FAM111B antibody should be determined by the researcher.

Immunogen

E.coli-derived human FAM111B recombinant protein (Position: Q328-D726) was used as the immunogen for the FAM111B antibody.

Storage

After reconstitution, the FAM111B antibody can be stored for up to one month at 4oC. For long-term, aliquot and store at -20oC. Avoid repeated freezing and thawing.

Cross
Bulk Quote Request Form
Name*:
Organization*:
Email*:
Phone Number*:
Catalog No.*:
Comments and Specifics(amount, formulation, etc.)*:
Validation code: Captchapackage Image


Can't read the image? click here to refresh.
    *required field

Your bulk quote request has been submitted successfully!

Please contact us if you have any questions.