• Tel: 858.663.9055
  • SeparatorEmail: info@nsjbio.com
  • Tel: 858.663.9055
  • Email: info@nsjbio.com
Home >> Antibodies >> FADS2 Antibody

FADS2 Antibody (F54265)

  Catalog No Formulation Size Price (USD)  
Image F54265-0.2ML In 1X PBS, pH 7.4, with 0.09% sodium azide 0.2 ml 429
Image
F54265-0.05ML In 1X PBS, pH 7.4, with 0.09% sodium azide 0.05 ml 199
Bulk quote request
Western blot testing of human 1) breast and 2) liver lysate with FADS2 antibody. Predicted molecular weight ~52 kDa.
Western blot testing of human 1) liver and 2) HepG2 lysate with FADS2 antibody. Predicted molecular weight ~52 kDa.
Western blot testing of human HepG2 cell lysate with FADS2 antibody. Predicted molecular weight ~52 kDa.
Immunofluorescent staining of fixed and permeabilized human A549 cells with FADS2 antibody (green) and anti-Actin (red).
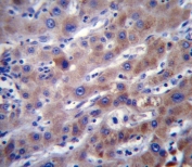
IHC testing of FFPE human liver tissue with FADS2 antibody. HIER: steam section in pH6 citrate buffer for 20 min and allow to cool prior to staining.
Flow cytometry testing of fixed and permeabilized human HepG2 cells with FADS2 antibody; Blue=isotype control, Green= FADS2 antibody.
Availability 1-3 business days
Species Reactivity Human
Format Purified
Clonality Polyclonal (rabbit origin)
Isotype Rabbit Ig
Purity Antigen affinity purified
UniProt O95864
Localization Cytoplasmic
Applications Western Blot : 1:500-1:2000
Immunohistochemistry (FFPE) : 1:25
Immunofluorescence : 1:25
Flow Cytometry : 1:25 (1x10e6 cells)
Limitations This FADS2 antibody is available for research use only.
Review this product on BioCompare and get a $20 Amazon gift card

Related Products

  • Applications : WB
    Reactivity : Human
  • Applications : WB
    Reactivity : Human

Description

The protein encoded by this gene is a member of the fatty acid desaturase (FADS) gene family. Desaturase enzymes regulate unsaturation of fatty acids through the introduction of double bonds between defined carbons of the fatty acyl chain. FADS family members are considered fusion products composed of an N-terminal cytochrome b5-like domain and a C-terminal multiple membrane-spanning desaturase portion, both of which are characterized by conserved histidine motifs. This gene is clustered with family members FADS1 and FADS2 at 11q12-q13.1; this cluster is thought to have arisen evolutionarily from gene duplication based on its similar exon/intron organization.

Application Notes

The stated application concentrations are suggested starting points. Titration of the FADS2 antibody may be required due to differences in protocols and secondary/substrate sensitivity.

Immunogen

A portion of amino acids 79-108 from the human protein were used as the immunogen for the FADS2 antibody.

Storage

Aliquot the FADS2 antibody and store frozen at -20oC or colder. Avoid repeated freeze-thaw cycles.

Cross
Bulk Quote Request Form
Name*:
Organization*:
Email*:
Phone Number*:
Catalog No.*:
Comments and Specifics(amount, formulation, etc.)*:
Validation code: Captchapackage Image


Can't read the image? click here to refresh.
    *required field

Your bulk quote request has been submitted successfully!

Please contact us if you have any questions.