• Tel: 858.663.9055
  • SeparatorEmail: info@nsjbio.com
  • Tel: 858.663.9055
  • Email: info@nsjbio.com
Home >> Antibodies >> Factor XIIIa Antibody

Factor XIIIa Antibody [clone F13A1/1448] (V3499)

  Catalog No Formulation Size Price (USD)  
Image V3499-100UG 0.2 mg/ml in 1X PBS with 0.1 mg/ml BSA (US sourced) and 0.05% sodium azide 100 ug 539
Image
V3499-20UG 0.2 mg/ml in 1X PBS with 0.1 mg/ml BSA (US sourced) and 0.05% sodium azide 20 ug 249
Image
V3499SAF-100UG 1 mg/ml in 1X PBS; BSA free, sodium azide free 100 ug 539
Image
V3499IHC-7ML Prediluted in 1X PBS with 0.1 mg/ml BSA (US sourced) and 0.05% sodium azide; *For IHC use only* 7 ml 539
Microvalidated
Bulk quote request
Protein array validation of the Factor XIIIa antibody: Analysis of HuProt(TM) microarray containing more than 19,000 full-length human proteins using Factor XIIIa antibody (clone F13A1/1448). These results demonstrate the foremost specificity of the F13A1/1448 mAb.
Z- and S- score: The Z-score represents the strength of a signal that an antibody (in combination with a fluorescently-tagged anti-IgG secondary Ab) produces when binding to a particular protein on the HuProt(TM) array. Z-scores are described in units of standard deviations (SD's) above the mean value of all signals generated on that array. If the targets on the HuProt(TM) are arranged in descending order of the Z-score, the S-score is the difference (also in units of SD's) between the Z-scores. The S-score therefore represents the relative target specificity of an Ab to its intended target.
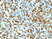
IHC testing of FFPE human histiocytoma with Factor XIIIa antibody (clone F13A1/1448). Required HIER: boil tissue sections in 10mM citrate buffer, pH 6, for 10-20 min.
Western blot testing of 1) partial human recombinant protein and 2) human HeLa lysate with Factor XIIIa antibody (clone F13A1/1448). Expected molecular weight ~83 kDa.
SDS-PAGE Analysis of Purified, BSA-Free Factor XIIIa Antibody (clone F13A1/1448). Confirmation of Integrity and Purity of the Antibody.
Availability 1-3 business days
Species Reactivity Human
Format Purified
Clonality Monoclonal (mouse origin)
Isotype Mouse IgG2b, kappa
Clone Name F13A1/1448
Purity Protein G affinity chromatography
UniProt P00488
Localization Cytoplasmic, secreted
Applications ELISA : 2-4ug/ml (order BSA/azide-free format)
Flow Cytometry : 0.5-1ug/10^6 cells
Immunofluorescence : 0.5-1ug/ml
Western Blot : 0.5-1ug/ml
Immunohistochemistry (FFPE) : 1-2ug/ml for 30 min at RT
Limitations This Factor XIIIa antibody is available for research use only.
Review this product on BioCompare and get a $20 Amazon gift card

Related Products

Description

Factor XIIIa has been identified in platelets, megakaryocytes, and fibroblast-like mesenchymal or histiocytic cells in the placenta, uterus, and prostate, monocytes and macrophages and dermal dendritic cells. Anti-Factor XIIIa has been found to be useful in differentiating between dermatofibroma (almost all cases are positive), dermatofibrosarcoma protuberans (-/+) and desmoplastic malignant melanoma (-). Anti-Factor XIIIa positivity is also seen in capillary hemagioblastoma, hemangioendothelioma, hemangiopericytoma, xanthogranuloma, xanthoma, hepatocellular carcinoma, glomus tumor, and meningioma.

Application Notes

Titering of the Factor XIIIa antibody may be required for optimal performance.

1. The prediluted format is supplied in a dropper bottle and is optimized for use in IHC. After epitope retrieval step (if required), drip mAb solution onto the tissue section and incubate at RT for 30 min.

Immunogen

A human partial recombinant protein corresponding to amino acids 46-181 was used as the immunogen for the Factor XIIIa antibody.

Storage

Store the Factor XIIIa antibody at 2-8oC (with azide) or aliquot and store at -20oC or colder (without azide).

Cross
Bulk Quote Request Form
Name*:
Organization*:
Email*:
Phone Number*:
Catalog No.*:
Comments and Specifics(amount, formulation, etc.)*:
Validation code: Captchapackage Image


Can't read the image? click here to refresh.
    *required field

Your bulk quote request has been submitted successfully!

Please contact us if you have any questions.