• Tel: 858.663.9055
  • SeparatorEmail: info@nsjbio.com
  • Tel: 858.663.9055
  • Email: info@nsjbio.com
Home >> Antibodies >> Factor XIIIa Antibody

Factor XIIIa Antibody [clone ACGC-6] (RQ4836)

  Catalog No Formulation Size Price (USD)  
Image RQ4836 Antibody in PBS with 0.02% sodium azide, 50% glycerol and 0.4-0.5mg/ml BSA 100 ul 439
Microvalidated Rab Mono Image
Bulk quote request
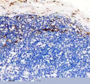
IHC staining of FFPE human appendix tissue with Factor XIIIa antibody, HRP-secondary and DAB substrate. HIER: boil tissue sections in pH8 EDTA for 20 min and allow to cool before testing.
IHC staining of FFPE human appendix tissue with Factor XIIIa antibody, HRP-secondary and DAB substrate. HIER: boil tissue sections in pH8 EDTA for 20 min and allow to cool before testing.
IHC staining of FFPE human placental tissue with Factor XIIIa antibody, HRP-secondary and DAB substrate. HIER: boil tissue sections in pH8 EDTA for 20 min and allow to cool before testing.
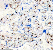
IHC staining of FFPE rat thymus tissue with Factor XIIIa antibody, HRP-secondary and DAB substrate. HIER: boil tissue sections in pH8 EDTA for 20 min and allow to cool before testing.
Western blot testing of human 1) placenta and 2) ThP-1 cell lysate with Factor XIIIa antibody. Predicted molecular weight ~83 kDa.
Availability 1-2 weeks
Species Reactivity Human, Rat
Format Purified
Clonality Rabbit Monoclonal
Isotype Rabbit IgG
Clone Name ACGC-6
Purity Affinity purified
UniProt P00488
Localization Cytoplasmic, secreted
Applications Western Blot : 1:500
Immunohistochemistry (FFPE) : 1:50
Limitations This Factor XIIIa antibody is available for research use only.
Review this product on BioCompare and get a $20 Amazon gift card

Related Products

Description

Factor XIIIa antibody is an essential reagent for studying blood coagulation, wound healing, and extracellular matrix biology. The encoded protein, Factor XIIIa, is the active form of Factor XIII, a transglutaminase that plays a crucial role in stabilizing blood clots. Activated by thrombin and calcium during the final steps of coagulation, Factor XIIIa crosslinks fibrin chains to strengthen the clot and protect it from premature breakdown. This activity is vital for maintaining hemostasis, tissue repair, and vascular integrity.

Beyond clot stabilization, Factor XIIIa participates in diverse biological processes. It crosslinks extracellular matrix proteins such as fibronectin, vitronectin, and collagen, enhancing tissue remodeling and wound repair. Factor XIIIa also contributes to angiogenesis and cellular migration, processes critical for restoring tissue structure after injury. Dysregulation of Factor XIIIa function can impair healing or lead to abnormal clot persistence, underscoring its importance in vascular and connective tissue biology.

Clinically, Factor XIII deficiency is a rare but serious bleeding disorder characterized by delayed wound healing, recurrent miscarriages, and increased risk of intracranial hemorrhage. Measurement of Factor XIIIa activity is therefore valuable for diagnosing deficiencies and monitoring replacement therapy. Elevated Factor XIIIa levels have also been observed in certain pathological states, including fibrosis and thrombotic disease, where excessive crosslinking contributes to abnormal tissue remodeling.

In research, Factor XIIIa is also used as a histological marker. Dermal dendritic cells and subsets of macrophages express Factor XIIIa, making it a useful marker in dermatopathology. Detection of Factor XIIIa positive dendritic cells assists in diagnosing skin conditions such as dermatofibroma and differentiating it from dermatofibrosarcoma protuberans. This dual role in coagulation and dermatopathology highlights Factor XIIIa as a protein of interest across multiple fields of biomedical research.

At the molecular level, Factor XIIIa functions as a tetramer composed of two catalytic A subunits and two carrier B subunits. Upon activation, the B subunits dissociate, and the A subunits form the active transglutaminase enzyme. Factor XIIIa catalyzes the formation of epsilon gamma glutamyl lysine bonds between fibrin molecules and extracellular proteins, creating an insoluble and resilient network. This structural reinforcement underlies its role in both clot biology and extracellular matrix dynamics.

The Factor XIIIa antibody is widely applied in immunohistochemistry, western blotting, immunofluorescence, and flow cytometry to study expression patterns in clotting systems, tissues, and skin biopsies. These applications are valuable for research into hemostasis, wound healing, angiogenesis, and dermatology. For scientists investigating coagulation biology, fibrosis, or dermatopathology, the Factor XIIIa antibody provides a reliable detection tool. NSJ Bioreagents offers validated antibodies that ensure reproducibility and precision in advanced molecular studies.

Application Notes

Optimal dilution of the Factor XIIIa antibody should be determined by the researcher.

Immunogen

A synthetic peptide specific to human Factor XIIIa / F13A1 was used as the immunogen for the Factor XIIIa antibody.

Storage

Store the Factor XIIIa antibody at -20oC.

Cross
Bulk Quote Request Form
Name*:
Organization*:
Email*:
Phone Number*:
Catalog No.*:
Comments and Specifics(amount, formulation, etc.)*:
Validation code: Captchapackage Image


Can't read the image? click here to refresh.
    *required field

Your bulk quote request has been submitted successfully!

Please contact us if you have any questions.