• Tel: 858.663.9055
  • SeparatorEmail: info@nsjbio.com
  • Tel: 858.663.9055
  • Email: info@nsjbio.com
Home >> Antibodies >> Factor VII Antibody

Factor VII Antibody [clone F7/3511] (V8537)

  Catalog No Formulation Size Price (USD)  
Image V8537-100UG 0.2 mg/ml in 1X PBS with 0.1 mg/ml BSA (US sourced) and 0.05% sodium azide 100 ug 539
Image
V8537-20UG 0.2 mg/ml in 1X PBS with 0.1 mg/ml BSA (US sourced) and 0.05% sodium azide 20 ug 249
Image
V8537SAF-100UG 1 mg/ml in 1X PBS; BSA free, sodium azide free 100 ug 539
Microvalidated
Bulk quote request
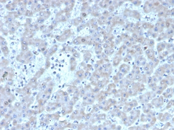
IHC staining of FFPE human liver with Factor VII antibody (clone F7/3511). HIER: boil tissue sections in pH 9 10mM Tris with 1mM EDTA for 20 min and allow to cool before testing.
Analysis of HuProt(TM) microarray containing more than 19,000 full-length human proteins using Factor VII antibody (clone F7/3511). These results demonstrate the foremost specificity of the F7/3511 mAb. Z- and S- score: The Z-score represents the strength of a signal that an antibody (in combination with a fluorescently-tagged anti-IgG secondary Ab) produces when binding to a particular protein on the HuProt(TM) array. Z-scores are described in units of standard deviations (SD's) above the mean value of all signals generated on that array. If the targets on the HuProt(TM) are arranged in descending order of the Z-score, the S-score is the difference (also in units of SD's) between the Z-scores. The S-score therefore represents the relative target specificity of an Ab to its intended target.
SDS-PAGE analysis of purified, BSA-free Factor VII antibody (clone F7/3511) as confirmation of integrity and purity.
Availability 1-3 business days
Species Reactivity Human
Format Purified
Clonality Monoclonal (mouse origin)
Isotype Mouse IgG2a, kappa
Clone Name F7/3511
Purity Protein G affinity chromatography
UniProt P08709
Localization Secreted, cytoplasm (mitochondria)
Applications ELISA : order Ab without BSA for coating
Immunohistochemistry (FFPE) : 1-2ug/ml for 30 minutes at RT
Limitations This Factor VII antibody is available for research use only.
Review this product on BioCompare and get a $20 Amazon gift card

Related Products

Description

Hemostasis following tissue injury involves the deployment of essential plasma procoagulants (prothrombin and Factors X, IX, V and VIII), which are involved in a blood coagulation cascade that leads to the formation of insoluble Fibrin clots and the promotion of platelet aggregation. Coagulation Factor VII (serum prothrombin conversion accelerator, proconvertin, F7, Factor VII) is a 406 amino acid, vitamin K-dependent, single chain serine protease that is synthesized in the liver and circulates as an inactive precursor. Factor IX A, Factor X A, Factor XII A or Thrombin-mediated proteolytic cleavage of Factor VII at Arg 152-Ile 153 generates Factor VII A, an active serine protease composed of a catalytic heavy chain disulfide linked to a light chain, containing two EGF-like domains. Mutations at the F7 locus that lead to Factor VII deficiencies are generally asymptomatic or phenotypically uncharacterized, with hemorrhagic diathesis occurring at extremely low levels.

Application Notes

Optimal dilution of the Factor VII antibody should be determined by the researcher.

Immunogen

A portion of amino acids 366-466 from the human protein was used as the immunogen for the Factor VII antibody.

Storage

Store the Factor VII antibody at 2-8oC (with azide) or aliquot and store at -20oC or colder (without azide).

Cross
Bulk Quote Request Form
Name*:
Organization*:
Email*:
Phone Number*:
Catalog No.*:
Comments and Specifics(amount, formulation, etc.)*:
Validation code: Captchapackage Image


Can't read the image? click here to refresh.
    *required field

Your bulk quote request has been submitted successfully!

Please contact us if you have any questions.