• Tel: 858.663.9055
  • SeparatorEmail: info@nsjbio.com
  • Tel: 858.663.9055
  • Email: info@nsjbio.com
Home >> Antibodies >> FABP5 Antibody (epidermal)

FABP5 Antibody (epidermal) (RQ4416)

  Catalog No Formulation Size Price (USD)  
Image RQ4416 0.5mg/ml if reconstituted with 0.2ml sterile DI water 100 ug 439
Bulk quote request
Immunofluorescent staining of FFPE human U-2 OS cells with FABP5 antibody (green) and DAPI nuclear stain (blue). HIER: steam section in pH6 citrate buffer for 20 min.
Immunofluorescent staining of FFPE human A549 cells with FABP5 antibody (green) and DAPI nuclear stain (blue). HIER: steam section in pH6 citrate buffer for 20 min.
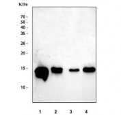
Western blot testing of 1) human HeLa, 2) human A549, 3) rat thymus and 4) mouse thymus lysate with FABP5 antibody at 0.5ug/ml. Predicted molecular weight ~15 kDa.
Western blot testing of 1) human RT4, 2) human PC-3, 3) rat lung and 4) mouse lung tissue lysate with FABP5 antibody at 0.5ug/ml. Predicted molecular weight ~15 kDa.
Availability 1-3 business days
Species Reactivity Human, Mouse, Rat
Format Antigen affinity purified
Clonality Polyclonal (rabbit origin)
Isotype Rabbit IgG
Purity Antigen affinity purified
Buffer Lyophilized from 1X PBS with 2% Trehalose
UniProt Q01469
Localization Cytoplasmic, nuclear
Applications Western Blot : 0.5-1ug/ml
Immunofluorescence : 5ug/ml
Limitations This FABP5 antibody is available for research use only.
Review this product on BioCompare and get a $20 Amazon gift card

Related Products

Description

FABP5, Fatty acid-binding protein, epidermal, is a protein that in humans is encoded by the FABP5 gene. This gene encodes the fatty acid binding protein found in epidermal cells, and was first identified as being upregulated in psoriasis tissue. It is mapped to 8q21.13. Fatty acid binding proteins are a family of small, highly conserved, cytoplasmic proteins that bind long-chain fatty acids and other hydrophobic ligands. It is thought that FABPs roles include fatty acid uptake, transport, and metabolism.

Application Notes

Optimal dilution of the FABP5 antibody should be determined by the researcher.

Immunogen

Amino acids KWRLMESHGFEEYMKELGVGLALRKMAAMAKPD from the human protein were used as the immunogen for the FABP5 antibody.

Storage

After reconstitution, the FABP5 antibody can be stored for up to one month at 4oC. For long-term, aliquot and store at -20oC. Avoid repeated freezing and thawing.

Cross
Bulk Quote Request Form
Name*:
Organization*:
Email*:
Phone Number*:
Catalog No.*:
Comments and Specifics(amount, formulation, etc.)*:
Validation code: Captchapackage Image


Can't read the image? click here to refresh.
    *required field

Your bulk quote request has been submitted successfully!

Please contact us if you have any questions.