• Tel: 858.663.9055
  • SeparatorEmail: info@nsjbio.com
  • Tel: 858.663.9055
  • Email: info@nsjbio.com
Home >> Antibodies >> FABP5 Antibody

FABP5 Antibody [clone CPTC-FABP5-3] (V3984)

  Catalog No Formulation Size Price (USD)  
Image V3984-100UG 0.2 mg/ml in 1X PBS with 0.1 mg/ml BSA (US sourced) and 0.05% sodium azide 100 ug 539
Image
V3984-20UG 0.2 mg/ml in 1X PBS with 0.1 mg/ml BSA (US sourced) and 0.05% sodium azide 20 ug 249
Image
V3984SAF-100UG 1 mg/ml in 1X PBS; BSA free, sodium azide free 100 ug 539
Image
V3984IHC-7ML 1 mg/ml in 1X PBS; BSA free, sodium azide free 7 ml 539
Bulk quote request
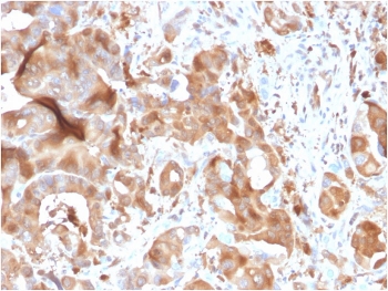
IHC testing of FFPE human hepatic carcinoma with FABP5 antibody. HIER: boiling tissue sections in pH 9 10mM Tris with 1mM EDTA for 10-20 min and allow to cool prior to staining.
IHC testing of FFPE human skeletal muscle with FABP5 antibody. HIER: boiling tissue sections in pH 9 10mM Tris with 1mM EDTA for 10-20 min and allow to cool prior to staining.
Western blot testing of human HeLa cell lysate with FABP5 antibody. Predicted molecular weight ~15 kDa.
Western blot testing of human Raji cell lysate with FABP5 antibody. Predicted molecular weight ~15 kDa.
SDS-PAGE analysis of purified, BSA-free FABP5 antibody (clone CPTC-FABP5-3) as confirmation of integrity and purity.
Availability 1-3 business days
Species Reactivity Human
Format Purified
Clonality Monoclonal (mouse origin)
Isotype Mouse IgG2a, kappa
Clone Name CPTC-FABP5-3
Purity Protein G affinity chromatography
UniProt Q01469
Localization Nuclear, cytoplasmic
Applications Western Blot : 1-2ug/ml
Immunohistochemistry (FFPE) : 1-2ug/ml for 30 min at RT
Limitations This FABP5 antibody is available for research use only.
Review this product on BioCompare and get a $20 Amazon gift card

Related Products

  • Applications : WB, IHC-P
    Reactivity : Human
    Recmousemono
  • Applications : WB, IHC-P
    Reactivity : Human
    Recrabbitmono
  • Applications : IHC-P, WB
    Reactivity : Human
    Microvalidated
  • Applications : WB, IHC-P
    Reactivity : Human
  • Applications : WB, IHC-P
    Reactivity : Mouse, Rat
  • Applications : WB, IF
    Reactivity : Human, Mouse, Rat

Description

This gene encodes the fatty acid binding protein found in epidermal cells, and was first identified as being upregulated in psoriasis tissue. Fatty acid binding proteins are a family of small, highly conserved, cytoplasmic proteins that bind long-chain fatty acids and other hydrophobic ligands. FABPs may play roles in fatty acid uptake, transport, and metabolism. Polymorphisms in this gene are associated with type 2 diabetes. The human genome contains many pseudogenes similar to this locus. FABP5 is also associated with poor survival in triple-negative breast cancer. Additionally, FABP5 gene is upregulated in colorectal cancer cells compared to normal colon cells in a manner that correlates with disease stage and that FABP5 significantly promotes colorectal cancer cell growth and metastatic potential.

Application Notes

Titering of the FABP5 antibody may be required for optimal performance.

1. The prediluted format is supplied in a dropper bottle and is optimized for use in IHC. After epitope retrieval step (if required), drip mAb solution onto the tissue section and incubate at RT for 30 min.

Immunogen

Recombinant full length human protein was used as the immunogen for the FABP5 antibody.

Storage

Store the FABP5 antibody at 2-8oC (with azide) or aliquot and store at -20oC or colder (without azide).

Cross
Bulk Quote Request Form
Name*:
Organization*:
Email*:
Phone Number*:
Catalog No.*:
Comments and Specifics(amount, formulation, etc.)*:
Validation code: Captchapackage Image


Can't read the image? click here to refresh.
    *required field

Your bulk quote request has been submitted successfully!

Please contact us if you have any questions.