• Tel: 858.663.9055
  • SeparatorEmail: info@nsjbio.com
  • Tel: 858.663.9055
  • Email: info@nsjbio.com
Home >> Antibodies >> FABP3 Antibody / Fatty Acid Binding Protein 3

FABP3 Antibody / Fatty Acid Binding Protein 3 [clone FABP3/8440] (V4867)

  Catalog No Formulation Size Price (USD)  
Image V4867-100UG 0.2 mg/ml in 1X PBS with 0.1 mg/ml BSA (US sourced), 0.05% sodium azide 100 ug 539
Image
V4867-20UG 0.2 mg/ml in 1X PBS with 0.1 mg/ml BSA (US sourced), 0.05% sodium azide 20 ug 249
Image
V4867SAF-100UG 1 mg/ml in 1X PBS; BSA free, sodium azide free 100 ug 539
Bulk quote request
Western blot testing of human heart lysate with FABP3 antibody. Predicted molecular weight ~14 kDa.
SDS-PAGE analysis of purified, BSA-free FABP3 antibody (clone FABP3/8440) as confirmation of integrity and purity.
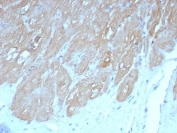
IHC staining of FFPE human heart tissue with FABP3 antibody (clone FABP3/8440). HIER: boil tissue sections in pH 9 10mM Tris with 1mM EDTA for 20 min and allow to cool before testing.
Availability 1-3 business days
Species Reactivity Human
Format Purified
Clonality Monoclonal (mouse origin)
Isotype Mouse IgG
Clone Name FABP3/8440
Purity Protein A/G affinity
UniProt P05413
Localization Cytoplasm
Applications Immunohistochemistry (FFPE) : 1-2ug/ml for 30 min at RT
Western Blot : 2-4ug/ml
Limitations This FABP3 antibody is available for research use only.
Review this product on BioCompare and get a $20 Amazon gift card

Related Products

Description

The intracellular fatty acid-binding proteins (FABPs) belongs to a multigene family. FABPs are divided into at least three distinct types, namely the hepatic-, intestinal- and cardiac-type. They form 14-15 kDa proteins and are thought to participate in the uptake, intracellular metabolism and/or transport of long-chain fatty acids. They may also be responsible in the modulation of cell growth and proliferation. Fatty acid-binding protein 3 gene contains four exons and its function is to arrest growth of mammary epithelial cells. This gene is a candidate tumor suppressor gene for human breast cancer. Alternative splicing results in multiple transcript variants.

Application Notes

Optimal dilution of the FABP3 antibody should be determined by the researcher.

Immunogen

A recombinant partial protein sequence (within amino acids 1-127) from the human protein was used as the immunogen for the FABP3 antibody.

Storage

Aliquot the FABP3 antibody and store frozen at -20oC or colder. Avoid repeated freeze-thaw cycles.

Cross
Bulk Quote Request Form
Name*:
Organization*:
Email*:
Phone Number*:
Catalog No.*:
Comments and Specifics(amount, formulation, etc.)*:
Validation code: Captchapackage Image


Can't read the image? click here to refresh.
    *required field

Your bulk quote request has been submitted successfully!

Please contact us if you have any questions.