• Tel: 858.663.9055
  • SeparatorEmail: info@nsjbio.com
  • Tel: 858.663.9055
  • Email: info@nsjbio.com
Home >> Antibodies >> FABP3 Antibody (cardiac)

FABP3 Antibody (cardiac) (RQ4456)

  Catalog No Formulation Size Price (USD)  
Image RQ4456 0.5mg/ml if reconstituted with 0.2ml sterile DI water 100 ug 439
Bulk quote request
Western blot testing of two lots of mouse heart lysate with FABP3 antibody at 0.5ug/ml. Predicted molecular weight ~15 kDa.
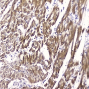
IHC testing of FFPE mouse heart tissue with FABP3 antibody at 2ug/ml. HIER: boil tissue sections in pH6, 10mM citrate buffer, for 10-20 min followed by cooling at RT for 20 min.
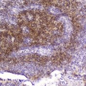
IHC testing of FFPE human tonsil tissue with FABP3 antibody at 2ug/ml. HIER: boil tissue sections in pH6, 10mM citrate buffer, for 10-20 min followed by cooling at RT for 20 min.
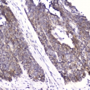
IHC testing of FFPE human esophageal squamous cell carcinoma with FABP3 antibody at 2ug/ml. HIER: boil tissue sections in pH6, 10mM citrate buffer, for 10-20 min followed by cooling at RT for 20 min.
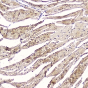
IHC testing of FFPE rat heart tissue with FABP3 antibody at 2ug/ml. HIER: boil tissue sections in pH6, 10mM citrate buffer, for 10-20 min followed by cooling at RT for 20 min.
Western blot testing of 1) human Caco-2, 2) rat heart and 3) mouse heart tissue lysate with FABP3 antibody at 0.5ug/ml. Predicted molecular weight ~15 kDa.
Availability 1-3 business days
Species Reactivity Human, Mouse, Rat
Format Antigen affinity purified
Clonality Polyclonal (rabbit origin)
Isotype Rabbit IgG
Purity Antigen affinity
Buffer Lyophilized from 1X PBS with 2% Trehalose and 0.025% sodium azide
UniProt P05413
Localization Cytoplasm
Applications Western Blot : 0.5-1ug/ml
Immunohistochemistry (FFPE) : 1-2ug/ml
Direct ELISA : 0.1-0.5ug/ml (recombinant human protein)
Limitations This FABP3 antibody is available for research use only.
Review this product on BioCompare and get a $20 Amazon gift card

Related Products

Description

Heart-type fatty acid binding protein (hFABP), also known as mammary-derived growth inhibitor, is a protein that in humans is encoded by the FABP3 gene. The intracellular fatty acid-binding proteins (FABPs) belong to a multigene family. Fatty acid-binding protein 3 gene contains four exons and its function is to arrest growth of mammary epithelial cells. This gene is also a candidate tumor suppressor gene for human breast cancer. Cardiac-type fatty acid-binding protein (cFABP) from human heart muscle of three individuals was isolated and characterized as pI 5.3-cFABP.

Application Notes

Optimal dilution of the FABP3 antibody should be determined by the researcher.

Immunogen

Human Cardiac FABP recombinant protein (amino acids V2-A133) was used as the immunogen for the FABP3 antibody.

Storage

After reconstitution, the FABP3 antibody can be stored for up to one month at 4oC. For long-term, aliquot and store at -20oC. Avoid repeated freezing and thawing.

Cross
Bulk Quote Request Form
Name*:
Organization*:
Email*:
Phone Number*:
Catalog No.*:
Comments and Specifics(amount, formulation, etc.)*:
Validation code: Captchapackage Image


Can't read the image? click here to refresh.
    *required field

Your bulk quote request has been submitted successfully!

Please contact us if you have any questions.