• Tel: 858.663.9055
  • SeparatorEmail: info@nsjbio.com
  • Tel: 858.663.9055
  • Email: info@nsjbio.com
Home >> Antibodies >> FABP3 Antibody

FABP3 Antibody [clone 6C4] (RQ4520)

  Catalog No Formulation Size Price (USD)  
Image RQ4520 0.5mg/ml if reconstituted with 0.2ml sterile DI water 100 ug 439
Bulk quote request
Western blot testing of different lots of 1) mouse heart, 2) mouse heart, 3) rat heart and 4) rat heart lysate with 0.5ug/ml of FABP3 antibody. Predicted molecular weight ~14 kDa.
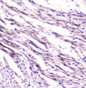
IHC testing of FFPE rat heart tissue with FABP3 antibody at 1ug/ml. HIER: boil tissue sections in pH6, 10mM citrate buffer, for 10-20 min followed by cooling at RT for 20 min.
Availability 1-3 business days
Species Reactivity Mouse, Rat
Format Purified
Clonality Monoclonal
Isotype Mouse IgG1
Clone Name 6C4
Purity Protein G affinity
Buffer Lyophilized from 1X PBS with 2% Trehalose and 0.025% sodium azide
UniProt P07483
Localization Cytoplasm
Applications Western Blot : 0.5-1ug/ml
Immunohistochemistry (FFPE) : 1-2ug/ml
ELISA : 0.1-0.5ug/ml (rat recombinant protein)
Limitations This FABP3 antibody is available for research use only.
Review this product on BioCompare and get a $20 Amazon gift card

Related Products

Description

Heart-type fatty acid binding protein (hFABP), also known as mammary-derived growth inhibitor, is a protein that in humans is encoded by the FABP3 gene. The intracellular fatty acid-binding proteins (FABPs) belong to a multigene family. Fatty acid-binding protein 3 gene contains four exons and its function is to arrest growth of mammary epithelial cells. This gene is also a candidate tumor suppressor gene for human breast cancer. Cardiac-type fatty acid-binding protein (cFABP) from human heart muscle of three individuals was isolated and characterized as pI 5.3-cFABP.

Application Notes

Optimal dilution of the FABP3 antibody should be determined by the researcher.

Immunogen

Rat Cardiac FABP recombinant protein (amino acids A2-A133) was used as the immunogen for the FABP3 antibody.

Storage

After reconstitution, the FABP3 antibody can be stored for up to one month at 4oC. For long-term, aliquot and store at -20oC. Avoid repeated freezing and thawing.

Cross
Bulk Quote Request Form
Name*:
Organization*:
Email*:
Phone Number*:
Catalog No.*:
Comments and Specifics(amount, formulation, etc.)*:
Validation code: Captchapackage Image


Can't read the image? click here to refresh.
    *required field

Your bulk quote request has been submitted successfully!

Please contact us if you have any questions.