• Tel: 858.663.9055
  • SeparatorEmail: info@nsjbio.com
  • Tel: 858.663.9055
  • Email: info@nsjbio.com
Home >> Antibodies >> FABP2 Antibody

FABP2 Antibody (R33789)

  Catalog No Formulation Size Price (USD)  
Image R33789-100UG 0.5 mg/ml in 1X TBS, pH7.3, with 0.5% BSA (US sourced) and 0.02% sodium azide 100 ug 449
Bulk quote request
Western blot testing of HEK293 lysate overexpressing FABP2 with FABP2 antibody [mock transfection in lane 1]. Predicted molecular weight: ~15 kDa.
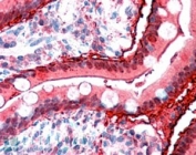
IHC staining of FFPE human small intestine with FABP2 antibody at 2.5ug/ml. HIER: steamed with pH6 citrate buffer, AP-staining.
Western blot of human duodenum lysate with FABP2 antibody at 0.001ug/ml. Predicted molecular weight: ~15 kDa.
Availability 1-3 business days
Species Reactivity Human
Predicted Reactivity Cow, Dog, Mouse, Pig, Rat
Format Antigen affinity purified
Clonality Polyclonal (goat origin)
Isotype Goat Ig
Purity Antigen affinity
Gene ID 2169
Localization Cytoplasmic
Applications Western Blot : 0.001-0.1ug/ml
Immunohistochemistry (FFPE) : 2-3ug/ml
ELISA (peptide) LOD : 1:64000
Limitations This FABP2 antibody is available for research use only.
Review this product on BioCompare and get a $20 Amazon gift card

Related Products

  • Applications : IHC-P
    Reactivity : Human
  • Applications : IHC-P
    Reactivity : Human
  • Applications : IHC-P
    Reactivity : Human
  • Applications : WB, IHC-P
    Reactivity : Human, Mouse, Rat
  • Applications : WB, IHC, ELISA (peptide)
    Reactivity : Human
    Pred. Reactivity : Cow, Dog, Mouse, Pig, Rat
  • Applications : WB, IHC-P
    Reactivity : Human, Mouse, Rat

Description

Additional name(s) for this target protein: Fatty acid binding protein 2

Application Notes

Optimal dilution of the FABP2 antibody should be determined by the researcher.

Immunogen

Amino acids EGVEAKRIFKKD were used as the immunogen for this FABP2 antibody.

Storage

Aliquot and store the FABP2 antibody at -20oC.

Cross
Bulk Quote Request Form
Name*:
Organization*:
Email*:
Phone Number*:
Catalog No.*:
Comments and Specifics(amount, formulation, etc.)*:
Validation code: Captchapackage Image


Can't read the image? click here to refresh.
    *required field

Your bulk quote request has been submitted successfully!

Please contact us if you have any questions.