• Tel: 858.663.9055
  • SeparatorEmail: info@nsjbio.com
  • Tel: 858.663.9055
  • Email: info@nsjbio.com
Home >> Antibodies >> FABP2 Antibody

FABP2 Antibody (R32378)

  Catalog No Formulation Size Price (USD)  
Image R32378 0.5mg/ml if reconstituted with 0.2ml sterile DI water 100 ug 439
Bulk quote request
Western blot testing of human SW620 cell lysate with FABP2 antibody. Expected/observed molecular weight ~15 kDa.
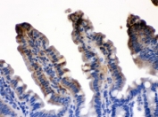
IHC testing of FFPE human intestinal cancer tissue with FABP2 antibody. HIER: Boil the paraffin sections in pH 6, 10mM citrate buffer for 20 minutes and allow to cool prior to testing.
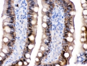
IHC testing of FFPE mouse intestine with FABP2 antibody. HIER: Boil the paraffin sections in pH 6, 10mM citrate buffer for 20 minutes and allow to cool prior to testing.
IHC testing of FFPE rat intestine with FABP2 antibody. HIER: Boil the paraffin sections in pH 6, 10mM citrate buffer for 20 minutes and allow to cool prior to testing.
Availability 1-3 business days
Species Reactivity Human, Mouse, Rat
Format Antigen affinity purified
Clonality Polyclonal (rabbit origin)
Isotype Rabbit IgG
Purity Antigen affinity
Buffer Lyophilized from 1X PBS with 2.5% BSA and 0.025% sodium azide
UniProt P12104
Localization Cytoplasmic
Applications Western Blot : 0.1-0.5ug/ml
IHC (FFPE) : 0.5-1ug/ml
Limitations This FABP2 antibody is available for research use only.
Review this product on BioCompare and get a $20 Amazon gift card

Related Products

  • Applications : IHC-P
    Reactivity : Human
  • Applications : IHC-P
    Reactivity : Human
  • Applications : IHC-P
    Reactivity : Human
  • Applications : WB, IHC, ELISA (peptide)
    Reactivity : Human
    Pred. Reactivity : Cow, Dog, Mouse, Pig, Rat
  • Applications : WB, IHC, ELISA (peptide)
    Reactivity : Human
    Pred. Reactivity : Cow, Dog, Mouse, Pig, Rat
  • Applications : WB, IHC-P
    Reactivity : Human, Mouse, Rat

Description

FABP are thought to play a role in the intracellular transport of long-chain fatty acids and their acyl-CoA esters. FABP2 is probably involved in triglyceride-rich lipoprotein synthesis. Binds saturated long-chain fatty acids with a high affinity, but binds with a lower affinity to unsaturated long-chain fatty acids. FABP2 may also help maintain energy homeostasis by functioning as a lipid sensor. [UniProt]

Application Notes

Optimal dilution of the FABP2 antibody should be determined by the researcher.

Immunogen

Amino acids AFDSTWKVDRSENYDKFMEKMGVNIVKRKLAAHDNLK from the human protein were used as the immunogen for the FABP2 antibody.

Storage

After reconstitution, the FABP2 antibody can be stored for up to one month at 4oC. For long-term, aliquot and store at -20oC. Avoid repeated freezing and thawing.

Cross
Bulk Quote Request Form
Name*:
Organization*:
Email*:
Phone Number*:
Catalog No.*:
Comments and Specifics(amount, formulation, etc.)*:
Validation code: Captchapackage Image


Can't read the image? click here to refresh.
    *required field

Your bulk quote request has been submitted successfully!

Please contact us if you have any questions.