• Tel: 858.663.9055
  • SeparatorEmail: info@nsjbio.com
  • Tel: 858.663.9055
  • Email: info@nsjbio.com
Home >> Antibodies >> FABP1 Antibody / Liver

FABP1 Antibody / Liver (R30331)

  Catalog No Formulation Size Price (USD)  
Image R30331 0.5mg/ml if reconstituted with 0.2ml sterile DI water 100 ug 439
Bulk quote request
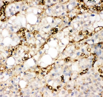
IHC-P: FABP1 antibody testing of human liver cancer tissue. HIER: steamed with pH6 citrate buffer.
IHC-P: FABP1 antibody testing of rat liver tissue. HIER: steamed with pH6 citrate buffer.
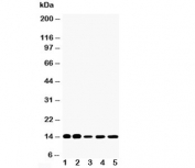
Western blot testing of FABP1 antibody and Lane 1: rat liver; 2: rat kidney; 3: HeLa; 4: (mouse) Neuro-2a; 5: (human) SMMC-7721 cell lysate. Predicted molecular weight: ~14 kDa.
Availability 1-3 business days
Species Reactivity Human, Mouse, Rat
Format Antigen affinity purified
Clonality Polyclonal (rabbit origin)
Isotype Rabbit IgG
Purity Antigen affinity
Buffer Lyophilized from 1X PBS with 2% Trehalose and 0.025% sodium azide
UniProt P07148
Localization Nuclear, cytoplasmic
Applications Western Blot : 0.5-1ug/ml
IHC (FFPE) : 1-2ug/ml
Limitations This FABP1 antibody is available for research use only.
Review this product on BioCompare and get a $20 Amazon gift card

Related Products

Description

Fatty acid binding protein 1, also known as FABP1 or FABPL, is a human gene locating at 2p11. FABPL encodes the fatty acid binding protein found in liver. Fatty acid binding proteins are a family of small, highly conserved, cytoplasmic proteins that bind free fatty acids, their CoA derivatives, bilirubin, organic anions, and other small molecules. FABP1 and FABP6 (the ileal fatty acid binding protein) are also able to bind bile acids. It is though that FABPs roles include fatty acid uptake, transport, and metaboism. The liver form of FABP may be identical to the major liver protein-1(Lvp-1), which is encoded by a gene situated within 1 cM of Ly-2.

Application Notes

The stated application concentrations are suggested starting amounts. Titration of the FABP1 antibody may be required due to differences in protocols and secondary/substrate sensitivity.

Immunogen

An amino acid sequence from the N-terminus of human FABP1 (EAFMKAIGLPEELIQK) was used as the immunogen for this FABP1 antibody.

Storage

After reconstitution, the FABP1 antibody can be stored for up to one month at 4oC. For long-term, aliquot and store at -20oC. Avoid repeated freezing and thawing.

Cross
Bulk Quote Request Form
Name*:
Organization*:
Email*:
Phone Number*:
Catalog No.*:
Comments and Specifics(amount, formulation, etc.)*:
Validation code: Captchapackage Image


Can't read the image? click here to refresh.
    *required field

Your bulk quote request has been submitted successfully!

Please contact us if you have any questions.