• Tel: 858.663.9055
  • SeparatorEmail: info@nsjbio.com
  • Tel: 858.663.9055
  • Email: info@nsjbio.com
Home >> Antibodies >> FABP1 Antibody / Fatty Acid Binding Protein 1

FABP1 Antibody / Fatty Acid Binding Protein 1 [clone FABP1/4990] (V4870)

  Catalog No Formulation Size Price (USD)  
Image V4870-100UG 0.2 mg/ml in 1X PBS with 0.1 mg/ml BSA (US sourced), 0.05% sodium azide 100 ug 539
Image
V4870-20UG 0.2 mg/ml in 1X PBS with 0.1 mg/ml BSA (US sourced), 0.05% sodium azide 20 ug 249
Image
V4870SAF-100UG 1 mg/ml in 1X PBS; BSA free, sodium azide free 100 ug 539
Bulk quote request
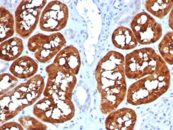
IHC staining of FFPE human kidney tissue with FABP1 antibody (clone FABP1/4990). HIER: boil tissue sections in pH 9 10mM Tris with 1mM EDTA for 20 min and allow to cool before testing.
Western blot testing of human kidney tissue lysate with FABP1 antibody (clone FABP1/4990). Predicted molecular weight ~14 kDa
SDS-PAGE analysis of purified, BSA-free FABP1 antibody (clone FABP1/4990) as confirmation of integrity and purity.
Analysis of a HuProt(TM) microarray containing more than 19,000 full-length human proteins using FABP1 antibody (clone FABP1/4990). Z- and S- Score: The Z-score represents the strength of a signal that a monoclonal antibody (in combination with a fluorescently-tagged anti-IgG secondary antibody) produces when binding to a particular protein on the HuProt(TM) array. Z-scores are described in units of standard deviations (SD's) above the mean value of all signals generated on that array. If targets on HuProt(TM) are arranged in descending order of the Z-score, the S-score is the difference (also in units of SD's) between the Z-score. S-score therefore represents the relative target specificity of a mAb to its intended target. A mAb is considered to specific to its intended target, if the mAb has an S-score of at least 2.5. For example, if a mAb binds to protein X with a Z-score of 43 and to protein Y with a Z-score of 14, then the S-score for the binding of that mAb to protein X is equal to 29.
Availability 1-3 business days
Species Reactivity Human
Format Purified
Clonality Monoclonal (mouse origin)
Isotype Mouse IgG2, kappa
Clone Name FABP1/4990
Purity Protein A/G affinity
UniProt P07148
Localization Cytoplasm, Nucleus
Applications Western Blot : 2-4ug/ml
Immunohistochemistry (FFPE) : 1-2ug/ml for 30 min at RT
Limitations This FABP1 antibody is available for research use only.
Review this product on BioCompare and get a $20 Amazon gift card

Related Products

Description

Fatty acid-binding proteins, designated FABPs, are a family of homologous cytoplasmic proteins that are expressed in a highly tissue-specific manner and play an integral role in the balance between lipid and carbohydrate metabolism. FABPs mediate fatty acid (FA) and/or hydrophobic ligand uptake, transport and targeting within their respective tissues. The mechanisms underlying these actions can give rise to both passive diffusional uptake and protein-mediated transmembrane transport of FAs. FABPs are expressed in adipocytes (A-FABP), brain (B-FABP), epithelium (E-FABP, psoriasis-associated FABP, PA-FABP), striated muscle and heart (H-FABP, mammary-derived growth inhibitor or MDGI), intestine (I-FABP), liver (L-FABP or FABP1), myelin (M-FABP) and testis (T-FABP). FABP1 (L-FABP) expression is modulated by developmental, hormonal, dietary and pharmacological factors, and is required for cholesterol synthesis and metabolism.

Application Notes

Optimal dilution of the FABP1 antibody should be determined by the researcher.

Immunogen

A recombinant partial protein sequence (within amino acids 1-127) from the human protein was used as the immunogen for the FABP1 antibody.

Storage

Aliquot the FABP1 antibody and store frozen at -20oC or colder. Avoid repeated freeze-thaw cycles.

Cross
Bulk Quote Request Form
Name*:
Organization*:
Email*:
Phone Number*:
Catalog No.*:
Comments and Specifics(amount, formulation, etc.)*:
Validation code: Captchapackage Image


Can't read the image? click here to refresh.
    *required field

Your bulk quote request has been submitted successfully!

Please contact us if you have any questions.