• Tel: 858.663.9055
  • SeparatorEmail: info@nsjbio.com
  • Tel: 858.663.9055
  • Email: info@nsjbio.com
Home >> Antibodies >> FABP1 Antibody

FABP1 Antibody [clone FABP1/3487] (V8541)

  Catalog No Formulation Size Price (USD)  
Image V8541-100UG 0.2 mg/ml in 1X PBS with 0.1 mg/ml BSA (US sourced) and 0.05% sodium azide 100 ug 539
Image
V8541-20UG 0.2 mg/ml in 1X PBS with 0.1 mg/ml BSA (US sourced) and 0.05% sodium azide 20 ug 249
Image
V8541SAF-100UG 1 mg/ml in 1X PBS; BSA free, sodium azide free 100 ug 539
Microvalidated
Bulk quote request
Western blot testing of human 1) HepG2 and 2) kidney lysate with FABP1 antibody. Predicted molecular weight: ~14 kDa.
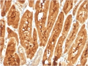
IHC staining of FFPE human liver carcinoma with FABP1 antibody. HIER: boil tissue sections in pH 9 10mM Tris with 1mM EDTA for 20 min and allow to cool before testing.
Analysis of HuProt(TM) microarray containing more than 19,000 full-length human proteins using FABP1 antibody. These results demonstrate the foremost specificity of the FABP1/3487 mAb. Z- and S- score: The Z-score represents the strength of a signal that an antibody (in combination with a fluorescently-tagged anti-IgG secondary Ab) produces when binding to a particular protein on the HuProt(TM) array. Z-scores are described in units of standard deviations (SD's) above the mean value of all signals generated on that array. If the targets on the HuProt(TM) are arranged in descending order of the Z-score, the S-score is the difference (also in units of SD's) between the Z-scores. The S-score therefore represents the relative target specificity of an Ab to its intended target.
SDS-PAGE analysis of purified, BSA-free FABP1 antibody as confirmation of integrity and purity.
Availability 1-3 business days
Species Reactivity Human
Format Purified
Clonality Monoclonal (mouse origin)
Isotype Mouse IgG2b, kappa
Clone Name FABP1/3487
Purity Protein G affinity chromatography
UniProt P07148
Localization Cytoplasmic and Nuclear
Applications Western Blot : 1-2ug/ml
Immunohistochemistry (FFPE) : 1-2ug/ml for 30 min at RT
Limitations This FABP1 antibody is available for research use only.
Review this product on BioCompare and get a $20 Amazon gift card

Related Products

Description

Fatty acid-binding proteins, designated FABPs, are a family of homologous cytoplasmic proteins that are expressed in a highly tissue-specific manner and play an integral role in the balance between lipid and carbohydrate metabolism. FABPs mediate fatty acid (FA) and/or hydrophobic ligand uptake, transport and targeting within their respective tissues. The mechanisms underlying these actions can give rise to both passive diffusional uptake and protein-mediated transmembrane transport of FAs. FABPs are expressed in adipocytes (A-FABP), brain (B-FABP), epithelium (E-FABP, psoriasis-associated FABP, PA-FABP), striated muscle and heart (H-FABP, mammary-derived growth inhibitor or MDGI), intestine (I-FABP), liver (L-FABP or FABP1), myelin (M-FABP) and testis (T-FABP). FABP1 (L-FABP) expression is modulated by developmental, hormonal, dietary and pharmacological factors, and is required for cholesterol synthesis and metabolism.

Application Notes

Optimal dilution of the FABP1 antibody should be determined by the researcher.

Immunogen

A portion of amino acids 1-127 from the human protein was used as the immunogen for the FABP1 antibody.

Storage

Store the FABP1 antibody at 2-8oC (with azide) or aliquot and store at -20oC or colder (without azide).

Cross
Bulk Quote Request Form
Name*:
Organization*:
Email*:
Phone Number*:
Catalog No.*:
Comments and Specifics(amount, formulation, etc.)*:
Validation code: Captchapackage Image


Can't read the image? click here to refresh.
    *required field

Your bulk quote request has been submitted successfully!

Please contact us if you have any questions.