• Tel: 858.663.9055
  • SeparatorEmail: info@nsjbio.com
  • Tel: 858.663.9055
  • Email: info@nsjbio.com
Home >> Antibodies >> FABP Antibody (liver)

FABP Antibody (liver) (R31902)

  Catalog No Formulation Size Price (USD)  
Image R31902 0.5mg/ml if reconstituted with 0.2ml sterile DI water 100 ug 439
Bulk quote request
Western blot testing of 1) rat liver, 2) rat intestine, 3) rat RH35, 4) rat PC-12, 5) mouse liver and 6) mouse small intestine tissue lysate with FABP antibody. Predicted molecular weight: ~14 kDa.
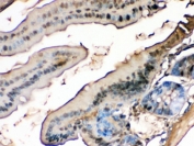
IHC testing of FFPE human intestinal cancer tissue with FABP antibody. HIER: Boil the paraffin sections in pH 6, 10mM citrate buffer for 20 minutes and allow to cool prior to staining.
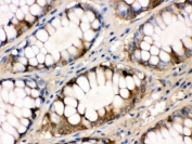
IHC testing of FFPE mouse intestine with FABP antibody. HIER: Boil the paraffin sections in pH 6, 10mM citrate buffer for 20 minutes and allow to cool prior to staining.
IHC testing of FFPE rat intestine with FABP antibody. HIER: Boil the paraffin sections in pH 6, 10mM citrate buffer for 20 minutes and allow to cool prior to staining.
Western blot testing of 1) human HCCT, 2) monkey liver and 3) chicken liver tissue lysate with FABP antibody. Predicted molecular weight: ~14 kDa.
Availability 1-3 business days
Species Reactivity Human, Mouse, Rat, Monkey, Chicken
Format Antigen affinity purified
Clonality Polyclonal (rabbit origin)
Isotype Rabbit IgG
Purity Antigen affinity
Buffer Lyophilized from 1X PBS with 2.5% BSA and 0.025% sodium azide
UniProt P07148
Localization Nuclear, cytoplasmic
Applications Western Blot : 0.5-1ug/ml
Immunohistochemistry (FFPE) : 0.5-1ug/ml
Limitations This FABP antibody is available for research use only.
Review this product on BioCompare and get a $20 Amazon gift card

Related Products

Description

Fatty acid binding protein 1, liver, also known as FABP1 or FABPL, is a human gene locating at 2p11. FABP1 encodes the fatty acid binding protein found in liver. Fatty acid binding proteins are a family of small, highly conserved, cytoplasmic proteins that bind free fatty acids, their CoA derivatives, bilirubin, organic anions, and other small molecules. FABP1 and FABP6 (the ileal fatty acid binding protein) are also able to bind bile acids. It is thought that FABPs roles include fatty acid uptake, transport, and metaboism. The liver form of FABP may be identical to the major liver protein-1 (Lvp-1), which is encoded by a gene situated within 1 cM of Ly-2.

Application Notes

Optimal dilution of the FABP antibody should be determined by the researcher.

Immunogen

Amino acids KYQLQSQENFEAFMKAIGLPEELIQKGKDIK of human FABP were used as the immunogen for the FABP antibody.

Storage

After reconstitution, the FABP antibody can be stored for up to one month at 4oC. For long-term, aliquot and store at -20oC. Avoid repeated freezing and thawing.

Cross
Bulk Quote Request Form
Name*:
Organization*:
Email*:
Phone Number*:
Catalog No.*:
Comments and Specifics(amount, formulation, etc.)*:
Validation code: Captchapackage Image


Can't read the image? click here to refresh.
    *required field

Your bulk quote request has been submitted successfully!

Please contact us if you have any questions.