• Tel: 858.663.9055
  • SeparatorEmail: info@nsjbio.com
  • Tel: 858.663.9055
  • Email: info@nsjbio.com
Home >> Antibodies >> Ezrin Antibody / EZR

Ezrin Antibody / EZR [clone SPM244] (V8158)

  Catalog No Formulation Size Price (USD)  
Image V8158-100UG 0.2 mg/ml in 1X PBS with 0.1 mg/ml BSA (US sourced) and 0.05% sodium azide 100 ug 539
Image
V8158-20UG 0.2 mg/ml in 1X PBS with 0.1 mg/ml BSA (US sourced) and 0.05% sodium azide 20 ug 249
Image
V8158SAF-100UG 1 mg/ml in 1X PBS; BSA free, sodium azide free 100 ug 539
Bulk quote request
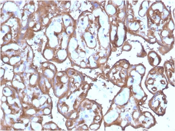
IHC staining of FFPE human placenta with Ezrin antibody (clone SPM244). HIER: boil tissue sections in pH 9 10mM Tris with 1mM EDTA for 20 min and allow to cool before testing.
Availability 1-3 business days
Species Reactivity Human
Format Purified
Clonality Monoclonal (mouse origin)
Isotype Mouse IgG2b, kappa
Clone Name SPM244
Purity Protein G affinity chromatography
UniProt P15311
Applications Western Blot : 1-2ug/ml
Immunohistochemistry (FFPE) : 1-2ug/ml
Limitations This Ezrin antibody is available for research use only.
Review this product on BioCompare and get a $20 Amazon gift card

Related Products

Description

Ezrin, Moesin and Radixin belong to a family of highly homologous Actinassociated proteins that are localized just beneath the plasma membrane. The proteins are believed to be involved in the mediation of interactions between cytoskeletal and membrane proteins. Ezrin serves as a major cytoplasmic substrate of various protein-tyrosine kinases, including the epidermal growth factor receptor. Ezrin has also been identified as a cAMP-dependent protein kinase (A-kinase) anchoring protein and designated AKAP78. Moesin and Radixin share over 70% homology with Ezrin and are coexpressed within various cell types. Despite the high degree of homology, the three proteins exhibit a distinct receptor-specific pattern of phosphorylation. Overexpression of Ezrin predicts the poor prognosis of gastric adenocarcinoma.

Application Notes

Optimal dilution of the Ezrin antibody should be determined by the researcher.

Immunogen

A recombinant human full-length protein was used as the immunogen for this Ezrin antibody.

Storage

Store the Ezrin antibody at 2-8oC (with azide) or aliquot and store at -20oC or colder (without azide).

Cross
Bulk Quote Request Form
Name*:
Organization*:
Email*:
Phone Number*:
Catalog No.*:
Comments and Specifics(amount, formulation, etc.)*:
Validation code: Captchapackage Image


Can't read the image? click here to refresh.
    *required field

Your bulk quote request has been submitted successfully!

Please contact us if you have any questions.