• Tel: 858.663.9055
  • SeparatorEmail: info@nsjbio.com
  • Tel: 858.663.9055
  • Email: info@nsjbio.com
Home >> Antibodies >> Ezrin Antibody / EZR

Ezrin Antibody / EZR (R35231)

  Catalog No Formulation Size Price (USD)  
Image R35231-100UG 0.5 mg/ml in 1X TBS, pH7.3, with 0.5% BSA (US sourced) and 0.02% sodium azide 100 ug 449
Bulk quote request
Western blot testing of human placenta lysate with Ezrin antibody at 1ug/ml. Predicted molecular weight 70~80 kDa.
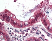
IHC staining of FFPE human small intestine with Ezrin antibody at 4ug/ml. HIER: steamed with pH6 citrate buffer, AP-staining.
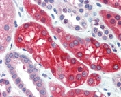
IHC staining of FFPE human kidney with Ezrin antibody at 4ug/ml. HIER: steamed with pH6 citrate buffer, AP-staining.
Availability 1-3 business days
Species Reactivity Human
Predicted Reactivity Dog
Format Antigen affinity purified
Clonality Polyclonal (goat origin)
Isotype Goat Ig
Purity Antigen affinity
Gene ID 7430
Localization Cytoplasmic, membranous
Applications Western Blot : 1-3ug/ml
Immunohistochemistry (FFPE) : 3-5ug/ml
ELISA (peptide) LOD : 1:16000
Limitations This Ezrin antibody is available for research use only.
Review this product on BioCompare and get a $20 Amazon gift card

Related Products

Description

Additional name(s) for this target protein: Villin 2, VIL2, CVIL, CVL

Application Notes

Optimal dilution of the Ezrin antibody should be determined by the researcher.

Immunogen

Amino acids QDYEEKTKKAER were used as the immunogen for this Ezrin antibody.

Storage

Aliquot and store the Ezrin antibody at -20oC.

Cross
Bulk Quote Request Form
Name*:
Organization*:
Email*:
Phone Number*:
Catalog No.*:
Comments and Specifics(amount, formulation, etc.)*:
Validation code: Captchapackage Image


Can't read the image? click here to refresh.
    *required field

Your bulk quote request has been submitted successfully!

Please contact us if you have any questions.