• Tel: 858.663.9055
  • SeparatorEmail: info@nsjbio.com
  • Tel: 858.663.9055
  • Email: info@nsjbio.com
Home >> Antibodies >> Ezrin Antibody / EZR

Ezrin Antibody / EZR [clone CPTC-Ezrin-1] (V7464)

  Catalog No Formulation Size Price (USD)  
Image V7464-100UG 0.2 mg/ml in 1X PBS with 0.1 mg/ml BSA (US sourced) and 0.05% sodium azide 100 ug 539
Image
V7464-20UG 0.2 mg/ml in 1X PBS with 0.1 mg/ml BSA (US sourced) and 0.05% sodium azide 20 ug 249
Image
V7464SAF-100UG 1 mg/ml in 1X PBS; BSA free, sodium azide free 100 ug 539
Image
V7464IHC-7ML Prediluted in 1X PBS with 0.1 mg/ml BSA (US sourced) and 0.05% sodium azide; *For IHC use only* 7 ml 539
Microvalidated
Bulk quote request
IHC testing of FFPE human prostate carcinoma with Ezrin antibody. Required HIER: boiling tissue sections in 10mM citrate buffer, pH 6, for 10-20 min and allow to cool prior to staining.
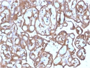
IHC testing of FFPE human placenta with Ezrin antibody. Required HIER: boiling tissue sections in 10mM citrate buffer, pH 6, for 10-20 min and allow to cool prior to staining.
Western blot testing of human SK-BR-3, HeLa, HEK293 and MCF-7 cell lysate with Ezrin antibody. Expected molecular weight: 70-80 kDa.
Analysis of HuProt(TM) microarray containing more than 19,000 full-length human proteins using Ezrin antibody (clone CPTC-Ezrin-1). These results demonstrate the foremost specificity of the CPTC-Ezrin-1 mAb.
Z- and S- score: The Z-score represents the strength of a signal that an antibody (in combination with a fluorescently-tagged anti-IgG secondary Ab) produces when binding to a particular protein on the HuProt(TM) array. Z-scores are described in units of standard deviations (SD's) above the mean value of all signals generated on that array. If the targets on the HuProt(TM) are arranged in descending order of the Z-score, the S-score is the difference (also in units of SD's) between the Z-scores. The S-score therefore represents the relative target specificity of an Ab to its intended target.
SDS-PAGE analysis of purified, BSA-free Ezrin antibody (clone CPTC-Ezrin-1) as confirmation of integrity and purity.
Availability 1-3 business days
Species Reactivity Human
Format Purified
Clonality Monoclonal (mouse origin)
Isotype Mouse IgG2b
Clone Name CPTC-Ezrin-1
Purity Protein G affinity chromatography
UniProt P15311
Localization Plasma membrane, cytoplasm
Applications Western Blot : 1-2ug/ml
Immunohistochemistry (FFPE) : 1-2ug/ml for 30 min at RT
Limitations This Ezrin antibody is available for research use only.
Review this product on BioCompare and get a $20 Amazon gift card

Related Products

Description

Ezrin, Moesin and Radixin belong to a family of highly homologous Actinassociated proteins that are localized just beneath the plasma membrane. The proteins are believed to be involved in the mediation of interactions between cytoskeletal and membrane proteins. Ezrin serves as a major cytoplasmic substrate of various protein-tyrosine kinases, including the epidermal growth factor receptor. Ezrin has also been identified as a cAMP-dependent protein kinase (A-kinase) anchoring protein and designated AKAP78. Moesin and Radixin share over 70% homology with Ezrin and are coexpressed within various cell types. Despite the high degree of homology, the three proteins exhibit a distinct receptor-specific pattern of phosphorylation. Overexpression of Ezrin predicts the poor prognosis of gastric adenocarcinoma.

Application Notes

Titering of the Ezrin antibody may be required for optimal performance.

1. The prediluted format is supplied in a dropper bottle and is optimized for use in IHC. After epitope retrieval step (if required), drip mAb solution onto the tissue section and incubate at RT for 30 min.

Immunogen

Recombinant full length human protein was used as the immunogen for the Ezrin antibody.

Storage

Store the Ezrin antibody at 2-8oC (with azide) or aliquot and store at -20oC or colder (without azide).

Cross
Bulk Quote Request Form
Name*:
Organization*:
Email*:
Phone Number*:
Catalog No.*:
Comments and Specifics(amount, formulation, etc.)*:
Validation code: Captchapackage Image


Can't read the image? click here to refresh.
    *required field

Your bulk quote request has been submitted successfully!

Please contact us if you have any questions.