• Tel: 858.663.9055
  • SeparatorEmail: info@nsjbio.com
  • Tel: 858.663.9055
  • Email: info@nsjbio.com
Home >> Antibodies >> EZH1 Antibody

EZH1 Antibody (F48072)

  Catalog No Formulation Size Price (USD)  
Image F48072-0.4ML In 1X PBS, pH 7.4, with 0.09% sodium azide 0.4 ml 429
Image
F48072-0.08ML In 1X PBS, pH 7.4, with 0.09% sodium azide 0.08 ml 199
Bulk quote request
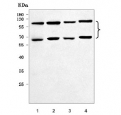
Western blot analysis of EZH1 antibody and 293 lysate. Predicted molecular weight ~85kDa.
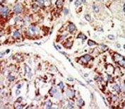
IHC analysis of FFPE human hepatocarcinoma tissue stained with the EZH1 antibody
IHC analysis of FFPE human prostate carcinoma tissue stained with EZH1 antibody
Availability 1-3 business days
Species Reactivity Human
Predicted Reactivity Bovine
Format Purified
Clonality Polyclonal (rabbit origin)
Isotype Rabbit Ig
Purity Purified
UniProt Q92800
Applications Western Blot : 1:1000
IHC (Paraffin) : 1:50-1:100
Limitations This EZH1 antibody is available for research use only.
Review this product on BioCompare and get a $20 Amazon gift card

Related Products

  • Applications : WB, ELISA (peptide)
    Reactivity : Human
    Pred. Reactivity : Cow, Mouse
  • Applications : WB, IF, FACS, Direct ELISA
    Reactivity : Human, Mouse, Rat

Description

EZH1 encodes a protein of 747 amino acids that displays 55% amino acid identity overall with the Drosophila homolog.1 The strong sequence conservation suggested potential roles for EZH1 in human development as a transcriptional regulator and as a component of protein complexes that preserve heterochromatin stability. EZH1 is expressed as 2 major transcripts in all adult and fetal human tissues evaluated. Analysis of an EZH1 cDNA revealed an unusual splicing event involving EZH1 and a tandemly linked gene GPR2 and suggested a potential mechanism for modifying the EZH1 protein in the conserved C-terminal domain. The GPR2 gene maps to 17q21.1-q21.3 in the vicinity of the BRCA1 gene.

Application Notes

Titration of the EZH1 antibody may be required due to differences in protocols and secondary/substrate sensitivity.

Immunogen

A portion of amino acids 393-422 from the human protein was used as the immunogen for this EZH1 antibody.

Storage

Aliquot the EZH1 antibody and store frozen at -20oC or colder. Avoid repeated freeze-thaw cycles.

Cross
Bulk Quote Request Form
Name*:
Organization*:
Email*:
Phone Number*:
Catalog No.*:
Comments and Specifics(amount, formulation, etc.)*:
Validation code: Captchapackage Image


Can't read the image? click here to refresh.
    *required field

Your bulk quote request has been submitted successfully!

Please contact us if you have any questions.