• Tel: 858.663.9055
  • SeparatorEmail: info@nsjbio.com
  • Tel: 858.663.9055
  • Email: info@nsjbio.com
Home >> Antibodies >> Eukaryotic translation initiation factor 5A-1 Antibody / EIF5A

Eukaryotic translation initiation factor 5A-1 Antibody / EIF5A (RQ6981)

  Catalog No Formulation Size Price (USD)  
Image RQ6981 0.5mg/ml if reconstituted with 0.2ml sterile DI water 100 ug 439
Bulk quote request
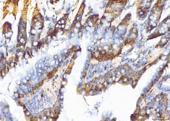
IHC staining of FFPE rat colon tissue with Eukaryotic translation initiation factor 5A-1 antibody. HIER: boil tissue sections in pH8 EDTA for 20 min and allow to cool before testing.
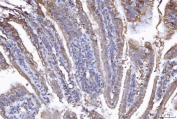
IHC staining of FFPE mouse colon tissue with Eukaryotic translation initiation factor 5A-1 antibody. HIER: boil tissue sections in pH8 EDTA for 20 min and allow to cool before testing.
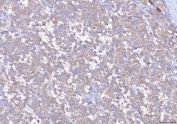
IHC staining of FFPE human melanoma tissue with Eukaryotic translation initiation factor 5A-1 antibody. HIER: boil tissue sections in pH8 EDTA for 20 min and allow to cool before testing.
Western blot testing of human 1) HeLa, 2) MOLT-4, 3) Jukat, 4) MCF7, 5) Caco-2 and 6) U-937 cell lysate with Eukaryotic translation initiation factor 5A-1 antibody. Predicted molecular weight: ~20 kDa.
Western blot testing of 1) rat pancreas, 2) mouse pancreas and 3) mouse C2C12 cell lysate with Eukaryotic translation initiation factor 5A-1 antibody. Predicted molecular weight: ~20 kDa.
Immunofluorescent staining of FFPE human SiHa cells with Eukaryotic translation initiation factor 5A-1 antibody (green) and DAPI nuclear stain (blue). HIER: steam section in pH6 citrate buffer for 20 min.
Flow cytometry testing of human K562 cells with Eukaryotic translation initiation factor 5A-1 antibody at 1ug/million cells (blocked with goat sera); Red=cells alone, Green=isotype control, Blue= Eukaryotic translation initiation factor 5A-1 antibody.
Flow cytometry testing of rat RH35 cells with Eukaryotic translation initiation factor 5A-1 antibody at 1ug/million cells (blocked with goat sera); Red=cells alone, Green=isotype control, Blue= Eukaryotic translation initiation factor 5A-1 antibody.
Availability 1-3 business days
Species Reactivity Human, Mouse, Rat
Format Antigen affinity purified
Clonality Polyclonal (rabbit origin)
Isotype Rabbit IgG
Purity Antigen affinity purified
Buffer Lyophilized from 1X PBS with 2% Trehalose
UniProt P63241
Localization Cytoplasmic, nuclear
Applications Western Blot : 0.5-1 ug/ml
Immunohistochemistry (FFPE) : 2-5ug/ml
Immunofluorescence : 5ug/ml
Flow Cytometry : 1-3ug/million cells
Direct ELISA : 0.1-0.5ug/ml
Limitations This Eukaryotic translation initiation factor 5A-1 antibody is available for research use only.
Review this product on BioCompare and get a $20 Amazon gift card

Related Products

  • Applications : WB, ELISA (peptide)
    Reactivity : Human
  • Applications : WB, IF, FACS, Direct ELISA
    Reactivity : Human, Mouse, Rat

Description

Eukaryotic translation initiation factor 5A-1 is a protein that in humans is encoded by the EIF5A gene. Eukaryotic initiation factor 5A (eIF5A) is an mRNA-binding protein that is involved in translation elongation and plays an important role in promoting translation of polyproline motifs. The eIF5A (eIF5A1) and eIF5A2 genes encode the two vertebrate eIF5A isoforms. While eIF5A1 is expressed constitutively in all tissues, eIF5A2 is mainly expressed in gonads. eIF5A and eIF5A2 are the only identified proteins that contain the distinctive amino acid hypusine, which is generated posttranslationally from lysine through a highly conserved polyamine metabolism pathway. eIF5A function and hypusine modification are both essential for cell proliferation, as knock down of eIF5A expression or blocking eIF5A hypusine modification suppresses cancer cell proliferation. Interestingly, eIF5A is an identified component of a tumor suppressor network of the polyamine-hypusine axis. Co-suppression of both eIF5A and adenosylmethionine decarboxylase 1 (AMD1) promotes lymphomagenesis in mice, while heterozygous deletions of the corresponding AMD1 and eIF5A genes often occur together in human lymphomas.

Application Notes

Optimal dilution of the Eukaryotic translation initiation factor 5A-1 antibody should be determined by the researcher.

Immunogen

Recombinant human protein (amino acids R86-K154) was used as the immunogen for the EIF5A antibody.

Storage

After reconstitution, the Eukaryotic translation initiation factor 5A-1 antibody can be stored for up to one month at 4oC. For long-term, aliquot and store at -20oC. Avoid repeated freezing and thawing.

Cross
Bulk Quote Request Form
Name*:
Organization*:
Email*:
Phone Number*:
Catalog No.*:
Comments and Specifics(amount, formulation, etc.)*:
Validation code: Captchapackage Image


Can't read the image? click here to refresh.
    *required field

Your bulk quote request has been submitted successfully!

Please contact us if you have any questions.