• Tel: 858.663.9055
  • SeparatorEmail: info@nsjbio.com
  • Tel: 858.663.9055
  • Email: info@nsjbio.com
Home >> Antibodies >> ETHE1 Antibody

ETHE1 Antibody (F54868)

  Catalog No Formulation Size Price (USD)  
Image F54868-0.4ML In 1X PBS, pH 7.4, with 0.09% sodium azide 0.4 ml 429
Image
F54868-0.08ML In 1X PBS, pH 7.4, with 0.09% sodium azide 0.08 ml 199
Bulk quote request
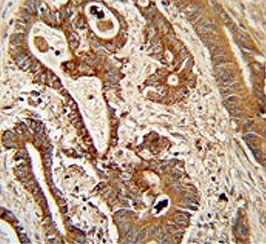
IHC testing of FFPE human colon carcinoma tissue with ETHE1 antibody. HIER: steam section in pH6 citrate buffer for 20 min and allow to cool prior to staining.
Western blot testing of mouse kidney tissue lysate with ETHE1 antibody. Predicted molecular weight ~28 kDa.
Western blot testing of 1) non-transfected and 2) transfected 293 cell lysate with ETHE1 antibody.
Flow cytometry testing of human HEK293 cells with ETHE1 antibody; Blue=isotype control, Green= ETHE1 antibody.
Availability 1-3 business days
Species Reactivity Human, Mouse
Format Purified
Clonality Polyclonal (rabbit origin)
Isotype Rabbit Ig
Purity Purified
UniProt O95571
Localization Cytoplasmic, nuclear
Applications Western Blot : 1:500-1:1000
Immunohistochemistry (FFPE) : 1:50-1:100
Flow Cytometry : 1:10-1:50 (1x10e6 cells)
Limitations This ETHE1 antibody is available for research use only.
Review this product on BioCompare and get a $20 Amazon gift card

Description

ETHE1 is a sulfur dioxygenase that localizes within the mitochondrial matrix. The enzyme functions in sulfide catabolism. Mutations in its gene result in ethylmalonic encephalopathy.

Application Notes

The stated application concentrations are suggested starting points. Titration of the ETHE1 antibody may be required due to differences in protocols and secondary/substrate sensitivity.

Immunogen

A portion of amino acids 103-130 from the human protein was used as the immunogen for the ETHE1 antibody.

Storage

Aliquot the ETHE1 antibody and store frozen at -20oC or colder. Avoid repeated freeze-thaw cycles.

Cross
Bulk Quote Request Form
Name*:
Organization*:
Email*:
Phone Number*:
Catalog No.*:
Comments and Specifics(amount, formulation, etc.)*:
Validation code: Captchapackage Image


Can't read the image? click here to refresh.
    *required field

Your bulk quote request has been submitted successfully!

Please contact us if you have any questions.