• Tel: 858.663.9055
  • SeparatorEmail: info@nsjbio.com
  • Tel: 858.663.9055
  • Email: info@nsjbio.com
Home >> Antibodies >> Estrogen Sulfotransferase Antibody / SULT1E1

Estrogen Sulfotransferase Antibody / SULT1E1 [clone SULT1E1/7124] (V4345)

  Catalog No Formulation Size Price (USD)  
Image V4345-100UG 0.2 mg/ml in 1X PBS with 0.1 mg/ml BSA (US sourced), 0.05% sodium azide 100 ug 539
Image
V4345-20UG 0.2 mg/ml in 1X PBS with 0.1 mg/ml BSA (US sourced), 0.05% sodium azide 20 ug 249
Image
V4345SAF-100UG 1 mg/ml in 1X PBS; BSA free, sodium azide free 100 ug 539
Bulk quote request
IHC staining of FFPE human ovarian carcinoma tissue with Estrogen Sulfotransferase antibody (clone SULT1E1/7124). HIER: boil tissue sections in pH 9 10mM Tris with 1mM EDTA for 20 min and allow to cool before testing.
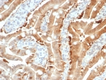
IHC staining of FFPE human small intestine tissue with Estrogen Sulfotransferase antibody (clone SULT1E1/7124). HIER: boil tissue sections in pH 9 10mM Tris with 1mM EDTA for 20 min and allow to cool before testing.
Availability 1-3 business days
Species Reactivity Human
Format Purified
Clonality Monoclonal (mouse origin)
Isotype Mouse IgG2, kappa
Clone Name SULT1E1/7124
Purity Protein A/G affinity
UniProt P49888
Localization Cytoplasm, nuclear membrane
Applications Western Blot : 1-2ug/ml
Immunohistochemistry (FFPE) : 1-2ug/ml for 30 minutes at RT
Limitations This Estrogen Sulfotransferase antibody is available for research use only.
Review this product on BioCompare and get a $20 Amazon gift card

Related Products

Description

The soluble sulfotransferases contribute to the elimination of xenobiotics, the activation of procarcinogens and the regulation of hormones by catalyzing the sulfate conjugation of these substances. SULT1E1, also known as STE, is a 294 amino acid member of the SULT1 family. Localized to the cytoplasm and expressed in intestine, liver and kidney, SULT1E1 exists as a homodimer that is thought to control estrogen receptor (ER) levels by sulfurylating free estradiol. Defects in the gene encoding SULT1E1 are associated with an increased risk for endometrial cancer, suggesting a role for SULT1E1 in tumorigenesis.

Application Notes

Optimal dilution of the Estrogen Sulfotransferase antibody should be determined by the researcher.

Immunogen

A recombinant partial protein sequence (within amino acids 100-294) from the human protein was used as the immunogen for the Estrogen Sulfotransferase antibody.

Storage

Aliquot the Estrogen Sulfotransferase antibody and store frozen at -20oC or colder. Avoid repeated freeze-thaw cycles.

Cross
Bulk Quote Request Form
Name*:
Organization*:
Email*:
Phone Number*:
Catalog No.*:
Comments and Specifics(amount, formulation, etc.)*:
Validation code: Captchapackage Image


Can't read the image? click here to refresh.
    *required field

Your bulk quote request has been submitted successfully!

Please contact us if you have any questions.