• Tel: 858.663.9055
  • SeparatorEmail: info@nsjbio.com
  • Tel: 858.663.9055
  • Email: info@nsjbio.com
Home >> Antibodies >> Estrogen-Related Receptor Alpha Antibody / ESRRA

Estrogen-Related Receptor Alpha Antibody / ESRRA (F54460)

  Catalog No Formulation Size Price (USD)  
Image F54460-0.4ML In 1X PBS, pH 7.4, with 0.09% sodium azide 0.4 ml 429
Image
F54460-0.08ML In 1X PBS, pH 7.4, with 0.09% sodium azide 0.08 ml 199
Bulk quote request
Western blot testing of human A375 cell lysate with Estrogen-Related Receptor Alpha antibody. Expected molecular weight: 46-52 kDa.
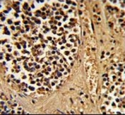
IHC testing of FFPE human kidney carcinoma tissue with Estrogen-Related Receptor Alpha antibody. HIER: steam section in pH6 citrate buffer for 20 min and allow to cool prior to staining.
Immunofluorescent staining of human HEK293 cells with Estrogen-Related Receptor Alpha antibody (green) and DAPI nuclear stain (blue).
Flow cytometry testing of human HEK293 cells with Estrogen-Related Receptor Alpha antibody; Blue=isotype control, Green= Estrogen-Related Receptor Alpha antibody.
Availability 1-3 business days
Species Reactivity Human
Format Purified
Clonality Polyclonal (rabbit origin)
Isotype Rabbit Ig
Purity Antigen affinity purified
UniProt P11474
Applications Immunofluorescence : 1:25
Western Blot : 1:500-1:2000
Flow Cytometry : 1:25 (1x10e6 cells)
Immunohistochemistry (FFPE) : 1:25
Limitations This Estrogen-Related Receptor Alpha antibody is available for research use only.
Review this product on BioCompare and get a $20 Amazon gift card

Related Products

Description

ESRRA is a nuclear receptor that is closely related to the estrogen receptor. This protein acts as a site-specific transcription regulator and has been also shown to interact with estrogen and the transcripton factor TFIIB by direct protein-protein contact. The binding and regulatory activities of this protein have been demonstrated in the regulation of a variety of genes including lactoferrin, osteopontin, medium-chain acyl coenzyme A dehydrogenase (MCAD) and thyroid hormone receptor genes.

Application Notes

The stated application concentrations are suggested starting points. Titration of the Estrogen-Related Receptor Alpha antibody may be required due to differences in protocols and secondary/substrate sensitivity.

Immunogen

A portion of amino acids 131-159 from the human protein was used as the immunogen for the Estrogen-Related Receptor Alpha antibody.

Storage

Aliquot the Estrogen-Related Receptor Alpha antibody and store frozen at -20oC or colder. Avoid repeated freeze-thaw cycles.

Cross
Bulk Quote Request Form
Name*:
Organization*:
Email*:
Phone Number*:
Catalog No.*:
Comments and Specifics(amount, formulation, etc.)*:
Validation code: Captchapackage Image


Can't read the image? click here to refresh.
    *required field

Your bulk quote request has been submitted successfully!

Please contact us if you have any questions.