• Tel: 858.663.9055
  • SeparatorEmail: info@nsjbio.com
  • Tel: 858.663.9055
  • Email: info@nsjbio.com
Home >> Antibodies >> Estrogen Receptor beta Antibody

Estrogen Receptor beta Antibody [clone ERb455] (V2115)

  Catalog No Formulation Size Price (USD)  
Image V2115-100UG 0.2 mg/ml in 1X PBS with 0.1 mg/ml BSA (US sourced) and 0.05% sodium azide 100 ug 539
Image
V2115-20UG 0.2 mg/ml in 1X PBS with 0.1 mg/ml BSA (US sourced) and 0.05% sodium azide 20 ug 249
Image
V2115SAF-100UG 1 mg/ml in 1X PBS; BSA free, sodium azide free 100 ug 539
Image
V2115IHC-7ML Prediluted in 1X PBS with 0.1 mg/ml BSA (US sourced) and 0.05% sodium azide; *For IHC use only* 7 ml 539
Bulk quote request
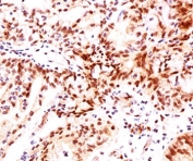
IHC testing of human breast cancer stained with Estrogen Receptor beta antibody (ERb455).
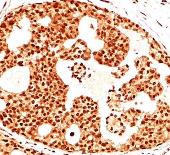
IHC testing of human ovarian cancer stained with Estrogen Receptor beta antibody (ERb455).
FACS testing of human MCF-7 cells: Black=cells alone; Green=isotype control; Red=Estrogen Receptor beta antibody PE conjugate
FACS testing of human BT474 cells: Black=cells alone; Gray=isotype control; Green=Estrogen Receptor beta antibody AF488 conjugate
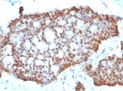
IHC testing of human gastric carcinoma stained with Estrogen Receptor beta antibody (ERb455).
IHC testing of human bladder carcinoma stained with Estrogen Receptor beta antibody (ERb455).
Western blot testing of human MCF7 cell lysate with Estrogen Receptor beta antibody (clone ERb455). Expected molecular weight: 53-59 kDa.
SDS-PAGE analysis of purified, BSA-free Estrogen Receptor beta antibody (clone ERb455) as confirmation of integrity and purity.
Species Reactivity Human, Mouse, Rat
Format Purified
Clonality Monoclonal (mouse origin)
Isotype Mouse IgG2a, kappa
Clone Name ERb455
Purity Protein G purified monoclonal antibody
Gene ID 2100
Localization Predominantly nuclear
Applications Western Blot : 1-2ug/ml
Flow Cytometry : 1-2ug/10^6 cells
Immunohistochemistry (FFPE) : 1-2ug/ml for 30 min at RT
Immunofluorescence : 1-2ug/ml
Limitations This Estrogen Receptor beta antibody is available for research use only.
Review this product on BioCompare and get a $20 Amazon gift card

Related Products

Description

Estrogen Receptor beta antibody clone ERb455 is a monoclonal antibody specific for ER beta, a nuclear receptor that regulates transcription in response to estrogens. ER beta is expressed in ovary, prostate, lung, cardiovascular tissues, and central nervous system, where it contributes to reproduction, metabolism, bone homeostasis, and neurobiology. NSJ Bioreagents provides this antibody for oncology, endocrinology, and molecular biology research.

The antibody produces strong nuclear staining in ER beta positive tissues. In oncology, it is frequently applied to studies of breast and prostate cancer. ER beta expression has been associated with tumor suppression, contrasting with ER alpha, which promotes proliferation. Detection with this antibody therefore supports research into cancer progression and therapeutic strategies.

In endocrinology, the antibody is widely used to investigate estrogen signaling in reproductive and metabolic systems. It has been applied in studies of ovary and prostate physiology, cardiovascular protection, and bone regulation. Its use provides insight into how ER beta mediates protective effects of estrogen in non-reproductive tissues.

In neuroscience, the antibody supports studies into estrogen’s role in cognition, stress response, and neuroprotection. ER beta is expressed in brain regions linked to memory and emotion, and its detection has advanced understanding of hormone signaling in neural health.

The antibody has also been employed in pharmacological studies, where selective ER beta agonists are being investigated for therapeutic potential in cancer, osteoporosis, and neurodegeneration. Validated across multiple tissue-based and cell-based assays, the antibody consistently provides strong nuclear staining. Alternate names include ESR2 antibody, nuclear receptor subfamily 3 group A member 2 antibody, and ER beta receptor antibody.

Application Notes

The concentration stated for each application is a general starting point. Variations in protocols, secondaries and substrates may require the Estrogen Receptor beta antibody to be titered up or down for optimal performance.

1. Staining of formalin-fixed tissues requires boiling tissue sections in 10mM citrate buffer, pH 6.0, for 10-20 min followed by cooling at RT for 20 minutes.
2. The prediluted format is supplied in a dropper bottle and is optimized for use in IHC. After epitope retrieval step (if required), drip mAb solution onto the tissue section and incubate at RT for 30 min.

Immunogen

The C-terminus fragment of recombinant human Estrogen Receptor beta protein was used as the immunogen for this antibody.

Storage

Store the Estrogen Receptor antibody at 2-8oC (with azide) or aliquot and store at -20oC or colder (without azide).

Cross
Bulk Quote Request Form
Name*:
Organization*:
Email*:
Phone Number*:
Catalog No.*:
Comments and Specifics(amount, formulation, etc.)*:
Validation code: Captchapackage Image


Can't read the image? click here to refresh.
    *required field

Your bulk quote request has been submitted successfully!

Please contact us if you have any questions.