• Tel: 858.663.9055
  • SeparatorEmail: info@nsjbio.com
  • Tel: 858.663.9055
  • Email: info@nsjbio.com
Home >> Antibodies >> ERp57 Antibody / PDIA3 / Protein disulfide-isomerase A3

ERp57 Antibody / PDIA3 / Protein disulfide-isomerase A3 (R30764)

  Catalog No Formulation Size Price (USD)  
Image R30764 0.5mg/ml if reconstituted with 0.2ml sterile DI water 100 ug 439
Bulk quote request
Western blot testing of ERp57 antibody and Lane 1: SMMC-7721; 2: A549; 3: U87; 4: HeLa; 5: MCF-7 cell lysate. Predicted molecular weight: ~57-60kDa.
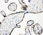
IHC-P: ERp57 antibody testing of human placenta tissue. HIER: steamed with pH6 citrate buffer.
Availability 1-3 business days
Species Reactivity Human, Mouse, Rat
Format Antigen affinity purified
Clonality Polyclonal (rabbit origin)
Isotype Rabbit IgG
Purity Antigen affinity
Buffer Lyophilized from 1X PBS with 2.5% BSA and 0.025% sodium azide/thimerosal
UniProt P30101
Localization Cytoplasmic, membrane
Applications Western Blot : 0.5-1ug/ml
IHC (FFPE) : 0.5-1ug/ml
Limitations This ERp57 antibody is available for research use only.
Review this product on BioCompare and get a $20 Amazon gift card

Related Products

Description

PDIA3 (Protein disulfide isomerase family A, member 3), also called GRP58, ERp57 or ER60, is an isomerase enzyme, mapped on 15q15.3. The PDIA3 protein has protein disulfide isomerase activity. It is also part of the major histocompatibility complex (MHC) class I peptide-loading complex, which is essential for formation of the final antigen conformation and export from the endoplasmic reticulum to the cell surface. Koivunen et al. showed that PDIA3/ERp57 could not substitute for the beta subunit of PDI. When coexpressed with alpha prolyl 4-hydroxylase, it did not form prolyl 4-hydroxylase tetramers, nor did it have prolyl 4-hydroxylase activity. Hirano et al. expressed human ERp57 and found that the protein had a thiol-dependent reductase activity. They showed that the expression level increased after oncogenic transformation of normal rat kidney cells and NIH 3T3 cells.

Application Notes

The stated application concentrations are suggested starting amounts. Titration of the ERp57 antibody may be required due to differences in protocols and secondary/substrate sensitivity.

Immunogen

Amino acids 172-188 (LKAASNLRDNYRFAHTN) were used as the immunogen for this ERp57 antibody (100% homologous in human, mouse and rat).

Storage

After reconstitution, the ERp57 antibody can be stored for up to one month at 4oC. For long-term, aliquot and store at -20oC. Avoid repeated freezing and thawing.

Cross
Bulk Quote Request Form
Name*:
Organization*:
Email*:
Phone Number*:
Catalog No.*:
Comments and Specifics(amount, formulation, etc.)*:
Validation code: Captchapackage Image


Can't read the image? click here to refresh.
    *required field

Your bulk quote request has been submitted successfully!

Please contact us if you have any questions.