• Tel: 858.663.9055
  • SeparatorEmail: info@nsjbio.com
  • Tel: 858.663.9055
  • Email: info@nsjbio.com
Home >> Antibodies >> ERP29 Antibody

ERP29 Antibody (RQ7335)

  Catalog No Formulation Size Price (USD)  
Image RQ7335 0.5mg/ml if reconstituted with 0.2ml sterile DI water 100 ug 439
Bulk quote request
Immunofluorescent staining of FFPE human colon cancer tissue with ERP29 antibody (red) and DAPI nuclear stain (blue). HIER: steam section in pH8 EDTA buffer for 20 min.
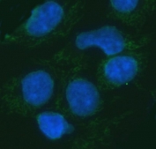
Immunofluorescent staining of FFPE human HepG2 cells with ERP29 antibody (green) and DAPI nuclear stain (blue). HIER: steam section in pH6 citrate buffer for 20 min.
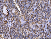
IHC staining of FFPE human thyroid cancer tissue with ERP29 antibody. HIER: boil tissue sections in pH8 EDTA for 20 min and allow to cool before testing.
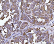
IHC staining of FFPE human ovarian cancer tissue with ERP29 antibody. HIER: boil tissue sections in pH8 EDTA for 20 min and allow to cool before testing.
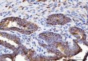
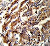
IHC staining of FFPE human prostate cancer tissue with ERP29 antibody. HIER: boil tissue sections in pH8 EDTA for 20 min and allow to cool before testing.
IHC staining of FFPE human spleen tissue with ERP29 antibody. HIER: boil tissue sections in pH8 EDTA for 20 min and allow to cool before testing.
IHC staining of FFPE mouse pulmonary lymph node tissue with ERP29 antibody. HIER: boil tissue sections in pH8 EDTA for 20 min and allow to cool before testing.
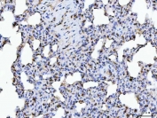
IHC staining of FFPE rat lung tissue with ERP29 antibody. HIER: boil tissue sections in pH8 EDTA for 20 min and allow to cool before testing.
Western blot testing of 1) human 293T, 2) human HepG2, 3) human HeLa, 4) human Jurkat, 5) human K562, 6) human placenta and 7) monkey COS-7 cell lysate with ERP29 antibody. Predicted molecular weight: ~29 kDa.
Flow cytometry testing of human ThP-1 cells with ERP29 antibody at 1ug/million cells (blocked with goat sera); Red=cells alone, Green=isotype control, Blue= ERP29 antibody.
Availability 1-3 business days
Species Reactivity Human, Monkey, Mouse, Rat
Format Antigen affinity purified
Clonality Polyclonal (rabbit origin)
Isotype Rabbit IgG
Purity Antigen affinity purified
Buffer Lyophilized from 1X PBS with 2% Trehalose
UniProt P30040
Localization Cytoplasmic (ER)
Applications Western Blot : 0.5-1ug/ml
Immunohistochemistry (FFPE) : 2-5ug/ml
Immunofluorescence : 5ug/ml
Flow Cytometry : 1-3ug/million cells
Direct ELISA : 0.1-0.5ug/ml
Limitations This ERP29 antibody is available for research use only.
Review this product on BioCompare and get a $20 Amazon gift card

Related Products

  • Applications : WB, ELISA (peptide)
    Reactivity : Human
    Pred. Reactivity : Cow, Dog, Pig, Rat
  • Applications : FACS, IHC-P, WB
    Reactivity : Human

Description

Endoplasmic reticulum protein 29 (ERp29) is a chaperone protein that in humans is encoded by the ERP29 gene. This gene encodes a protein which localizes to the lumen of the endoplasmic reticulum (ER). It is a member of the protein disulfide isomerase (PDI) protein family but lacks an active thioredoxin motif, suggesting that this protein does not function as a disulfide isomerase. The canonical protein dimerizes and is thought to play a role in the processing of secretory proteins within the ER. Alternative splicing results in multiple transcript variants encoding different isoforms.

Application Notes

Optimal dilution of the ERP29 antibody should be determined by the researcher.

Immunogen

Recombinant human protein (amino acids L33-K196) was used as the immunogen for the ERP29 antibody.

Storage

After reconstitution, the ERP29 antibody can be stored for up to one month at 4oC. For long-term, aliquot and store at -20oC. Avoid repeated freezing and thawing.

Cross
Bulk Quote Request Form
Name*:
Organization*:
Email*:
Phone Number*:
Catalog No.*:
Comments and Specifics(amount, formulation, etc.)*:
Validation code: Captchapackage Image


Can't read the image? click here to refresh.
    *required field

Your bulk quote request has been submitted successfully!

Please contact us if you have any questions.