• Tel: 858.663.9055
  • SeparatorEmail: info@nsjbio.com
  • Tel: 858.663.9055
  • Email: info@nsjbio.com
Home >> Antibodies >> ERLIN2 Antibody

ERLIN2 Antibody (R33729)

  Catalog No Formulation Size Price (USD)  
Image R33729-100UG 0.5 mg/ml in 1X TBS, pH7.3, with 0.5% BSA (US sourced) and 0.02% sodium azide 100 ug 449
Bulk quote request
Western blot testing of human breast lysate with ERLIN2 antibody at 1ug/ml. Predicted molecular weight: ~38 kDa, routinely observed at ~43 kDa.
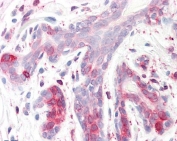
IHC testing of FFPE human breast tissue with ERLIN2 antibody at 3.75ug/ml. Required HIER: steamed antigen retrieval with pH6 citrate buffer; AP-staining.
Availability 1-3 business days
Species Reactivity Human
Predicted Reactivity Rat
Format Antigen affinity purified
Clonality Polyclonal (goat origin)
Isotype Goat Ig
Purity Antigen affinity
Gene ID 11160
Localization Cytoplasmic (Endoplasmic reticulum)
Applications Western Blot : 1-3ug/ml
IHC (FFPE) : 3.75ug/ml
ELISA (peptide) LOD : 1:2000
Limitations This ERLIN2 antibody is available for research use only.
Review this product on BioCompare and get a $20 Amazon gift card

Related Products

  • Applications : WB, IHC-P, IF, FACS
    Reactivity : Human
  • Applications : WB
    Reactivity : Human, Mouse, Rat
  • Applications : WB, IF, FACS, Direct ELISA
    Reactivity : Human, Mouse, Rat

Description

Additional name(s) for this target protein: SPFH2, ER lipid raft associated 2

Application Notes

Optimal dilution of the ERLIN2 antibody should be determined by the researcher.

1. This ERLIN2 antibody is specific for isoform 1.

Immunogen

Amino acids EDEPLETATKEN were used as the immunogen for this ERLIN2 antibody.

Storage

Aliquot and store the ERLIN2 antibody at -20oC.

Cross
Bulk Quote Request Form
Name*:
Organization*:
Email*:
Phone Number*:
Catalog No.*:
Comments and Specifics(amount, formulation, etc.)*:
Validation code: Captchapackage Image


Can't read the image? click here to refresh.
    *required field

Your bulk quote request has been submitted successfully!

Please contact us if you have any questions.