• Tel: 858.663.9055
  • SeparatorEmail: info@nsjbio.com
  • Tel: 858.663.9055
  • Email: info@nsjbio.com
Home >> Antibodies >> ERG Antibody / Transcriptional regulator ERG

ERG Antibody / Transcriptional regulator ERG [clone ERG/2107] (V8982)

  Catalog No Formulation Size Price (USD)  
Image V8982-100UG 0.2 mg/ml in 1X PBS with 0.1 mg/ml BSA (US sourced), 0.05% sodium azide 100 ug 539
Image
V8982-20UG 0.2 mg/ml in 1X PBS with 0.1 mg/ml BSA (US sourced), 0.05% sodium azide 20 ug 249
Image
V8982SAF-100UG 1 mg/ml in 1X PBS; BSA free, sodium azide free 100 ug 539
Microvalidated
Bulk quote request
Analysis of HuProt(TM) microarray containing more than 19,000 full-length human proteins using ERG antibody (clone ERG/2107). These results demonstrate the foremost specificity of the ERG/2107 mAb. Z- and S- score: The Z-score represents the strength of a signal that an antibody (in combination with a fluorescently-tagged anti-IgG secondary Ab) produces when binding to a particular protein on the HuProt(TM) array. Z-scores are described in units of standard deviations (SD's) above the mean value of all signals generated on that array. If the targets on the HuProt(TM) are arranged in descending order of the Z-score, the S-score is the difference (also in units of SD's) between the Z-scores. The S-score therefore represents the relative target specificity of an Ab to its intended target.
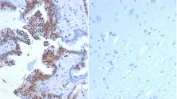
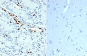
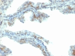
IHC staining of FFPE human prostate carcinoma tissue with ERG antibody (clone ERG/2107). HIER: boil tissue sections in pH 9 10mM Tris with 1mM EDTA for 20 min and allow to cool before testing.
Availability 1-3 business days
Species Reactivity Human
Format Purified
Clonality Monoclonal (mouse origin)
Isotype Mouse IgG2b, kappa
Clone Name ERG/2107
Purity Protein A/G affinity
UniProt P11308
Localization Nucleus, cytoplasm
Applications Immunohistochemistry (FFPE) : 1-2ug/ml
Limitations This ERG antibody is available for research use only.
Review this product on BioCompare and get a $20 Amazon gift card

Related Products

Description

The transcription factor erythroblastosis virus E26 transforming sequence related gene (ERG) functions as a regulator of key cellular functions to promote endothelial homeostasis. Expression of ERG has been observed in both benign and malignant vascular endothelial tumors, such as hemangiomas and Kaposi sarcomas, respectively. Carcinomas of the breast, colon, and urothelium have demonstrated absence of ERG expression, whereas presence of the protein has been confirmed in a subset of prostate carcinoma cases. Anti-ERG can be a useful tool for identifying vascular endothelial neoplasms and distinguishing prostate carcinoma from epithelial tumors of non-prostatic origin.

Application Notes

Optimal dilution of the ERG antibody should be determined by the researcher.

Immunogen

Recombinant human full-length ERG protein was used as the immunogen for the ERG antibody.

Storage

Aliquot the ERG antibody and store frozen at -20oC or colder. Avoid repeated freeze-thaw cycles.

Cross
Bulk Quote Request Form
Name*:
Organization*:
Email*:
Phone Number*:
Catalog No.*:
Comments and Specifics(amount, formulation, etc.)*:
Validation code: Captchapackage Image


Can't read the image? click here to refresh.
    *required field

Your bulk quote request has been submitted successfully!

Please contact us if you have any questions.