- Tel: 858.663.9055
- 
									 Email: info@nsjbio.com Email: info@nsjbio.com
- Tel: 858.663.9055
- Email: info@nsjbio.com
 Email: info@nsjbio.com
Email: info@nsjbio.com
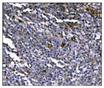
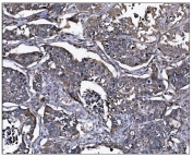
								Endoplasmic reticulum aminopeptidase 2 is a protein that in humans is encoded by the ERAP2 gene. This gene encodes a zinc metalloaminopeptidase of the M1 protease family that resides in the endoplasmic reticulum and functions in N-terminal trimming antigenic epitopes for presentation by major histocompatibility complex (MHC) class I molecules. Certain mutations in this gene are associated with the inflammatory arthritis syndrome ankylosing spondylitis and pre-eclampsia. This gene is located adjacent to a closely related aminopeptidase gene on chromosome 5.
Optimal dilution of the ERAP2 antibody should be determined by the researcher.
An E. coli-derived human protein (amino acids K13-T960) was used as the immunogen for the ERAP2 antibody.
After reconstitution, the ERAP2 antibody can be stored for up to one month at 4oC. For long-term, aliquot and store at -20oC. Avoid repeated freezing and thawing.
 
Your bulk quote request has been submitted successfully!
Please contact us if you have any questions.