• Tel: 858.663.9055
  • SeparatorEmail: info@nsjbio.com
  • Tel: 858.663.9055
  • Email: info@nsjbio.com
Home >> Antibodies >> ERa Antibody / Estrogen Receptor alpha

ERa Antibody / Estrogen Receptor alpha [clone ESR1/3373] (V7809BTN)

  Catalog No Formulation Size Price (USD)  
Image V7809BTN 0.1 mg/ml with 0.1 mg/ml BSA (US sourced), 0.05% sodium azide 500 ul 459
Microvalidated
Bulk quote request
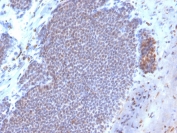
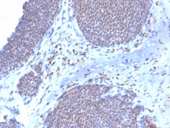
IHC staining of FFPE human breast carcinoma with biotin-conjugated ERa antibody (clone ESR1/3373). HIER: boil tissue sections in pH 9 10mM Tris with 1mM EDTA for 10-20 min and allow to cool before testing.
IHC staining of FFPE human breast carcinoma with biotin-conjugated ERa antibody (clone ESR1/3373). HIER: boil tissue sections in pH 9 10mM Tris with 1mM EDTA for 10-20 min and allow to cool before testing.
Analysis of HuProt(TM) microarray containing more than 19,000 full-length human proteins using ERa antibody (clone ESR1/3373). These results demonstrate the foremost specificity of the ESR1/3373 mAb. Z- and S- score: The Z-score represents the strength of a signal that an antibody (in combination with a fluorescently-tagged anti-IgG secondary Ab) produces when binding to a particular protein on the HuProt(TM) array. Z-scores are described in units of standard deviations (SD's) above the mean value of all signals generated on that array. If the targets on the HuProt(TM) are arranged in descending order of the Z-score, the S-score is the difference (also in units of SD's) between the Z-scores. The S-score therefore represents the relative target specificity of an Ab to its intended target.
SDS-PAGE analysis of purified, BSA-free ERa antibody (clone ESR1/3373) as confirmation of integrity and purity.
Availability 1-3 business days
Species Reactivity Human
Format Biotin Conjugate
Clonality Monoclonal (mouse origin)
Isotype Mouse IgG2a, kappa
Clone Name ESR1/3373
Purity Protein G affinity chromatography
UniProt P03372
Localization Nuclear
Applications Immunohistochemistry (FFPE) : 2-4ug/ml for 30 minutes at RT
Limitations This ERa antibody is available for research use only.
Review this product on BioCompare and get a $20 Amazon gift card

Related Products

Description

This monoclonal antibody is specific to estrogen receptor alpha (ER alpha) and shows minimal cross-reaction with other members of the family. ER is an important regulator of growth and differentiation in the mammary gland. Presence of ER in breast tumors indicates an increased likelihood of response to anti-estrogen (e.g. tamoxifen) therapy. It strongly stains nuclei of epithelial cells in breast carcinomas.

Application Notes

Optimal dilution of the ERa antibody should be determined by the researcher.

Immunogen

Recombinant full-length human Estrogen Receptor alpha protein was used as the immunogen for the ERa antibody.

Storage

Store the ERa antibody at 2-8oC (up to one month) or aliquot and store at -20oC (longer term).

Cross
Bulk Quote Request Form
Name*:
Organization*:
Email*:
Phone Number*:
Catalog No.*:
Comments and Specifics(amount, formulation, etc.)*:
Validation code: Captchapackage Image


Can't read the image? click here to refresh.
    *required field

Your bulk quote request has been submitted successfully!

Please contact us if you have any questions.