• Tel: 858.663.9055
  • SeparatorEmail: info@nsjbio.com
  • Tel: 858.663.9055
  • Email: info@nsjbio.com
Home >> Antibodies >> ER alpha Antibody

ER alpha Antibody [clone IE-5] (RQ5022)

  Catalog No Formulation Size Price (USD)  
Image RQ5022 Antibody in PBS with 0.02% sodium azide, 50% glycerol and 0.4-0.5mg/ml BSA 100 ul 439
Microvalidated Rab Mono Image
Bulk quote request
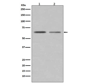
Western blot testing of human 1) MCF7 and 2) T-47D cell lysate with ER alpha antibody. Predicted molecular weight ~66 kDa.
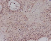
IHC staining of FFPE human cervical carcinoma with ER alpha antibody. HIER: boil tissue sections in pH6, 10mM citrate buffer, for 10-20 min and allow to cool before testing.
Western blot testing of human 1) HepG2, 2) SW480, 3) SK-OV-3 and 4) MCF7 cell lysate with ER alpha antibody. Predicted molecular weight ~66 kDa.
Western blot testing of human K562 cell lysate with ER alpha antibody. Predicted molecular weight ~66 kDa.
Western blot testing of human 1) 293, 2) A375, 3) MCF7 and 4) Daudi cell lysate with ER alpha antibody. Predicted molecular weight ~66 kDa.
Western blot testing of 1) human HeLa, 2) human A375 and 3) rat C6 cell lysate with ER alpha antibody. Predicted molecular weight ~66 kDa.
Western blot testing of 1) mouse testis, 2) mouse uterus, 3) mouse ovary and 4) rat testis tissue lysate with ER alpha antibody. Predicted molecular weight ~66 kDa.
Immunofluorescent staining of FFPE human MCF7 cells with ER alpha antibody (green) and DAPI nuclear stain (blue). HIER: steam section in pH6 citrate buffer for 20 min.
Availability 1-2 weeks
Species Reactivity Human, Mouse, Rat
Format Purified
Clonality Rabbit Monoclonal
Isotype Rabbit IgG
Clone Name IE-5
Purity Affinity purified
UniProt P03372
Applications Western Blot : 1:500-1:2000
Immunohistochemistry (FFPE) : 1:50-1:100
Immunofluorescence : 1:50-1:100
Limitations This ER alpha antibody is available for research use only.
Review this product on BioCompare and get a $20 Amazon gift card

Related Products

Description

Estrogen receptor alpha is a ligand-activated transcription factor composed of several domains important for hormone binding, DNA binding, and activation of transcription. The protein localizes to the nucleus where it may form a homodimer or a heterodimer with estrogen receptor 2. Estrogen and its receptors are essential for sexual development and reproductive function, but also play a role in other tissues such as bone. [RefSeq]

Application Notes

Optimal dilution of the ER alpha antibody should be determined by the researcher.

Immunogen

A synthetic peptide specific to human ER alpha / ESR1 was used as the immunogen for the ER alpha antibody.

Storage

Store the ER alpha antibody at -20oC.

Cross
Bulk Quote Request Form
Name*:
Organization*:
Email*:
Phone Number*:
Catalog No.*:
Comments and Specifics(amount, formulation, etc.)*:
Validation code: Captchapackage Image


Can't read the image? click here to refresh.
    *required field

Your bulk quote request has been submitted successfully!

Please contact us if you have any questions.