• Tel: 858.663.9055
  • SeparatorEmail: info@nsjbio.com
  • Tel: 858.663.9055
  • Email: info@nsjbio.com
Home >> Antibodies >> ER-A Antibody / Estrogen Receptor alpha

ER-A Antibody / Estrogen Receptor alpha [clone ESR1/8407R] (V5192)

  Catalog No Formulation Size Price (USD)  
Image V5192-100UG 0.2 mg/ml in 1X PBS with 0.1 mg/ml BSA (US sourced), 0.05% sodium azide 100 ug 539
Image
V5192-20UG 0.2 mg/ml in 1X PBS with 0.1 mg/ml BSA (US sourced), 0.05% sodium azide 20 ug 249
Image
V5192SAF-100UG 1 mg/ml in 1X PBS; BSA free, sodium azide free 100 ug 539
Microvalidated Recrabbitmono
Bulk quote request
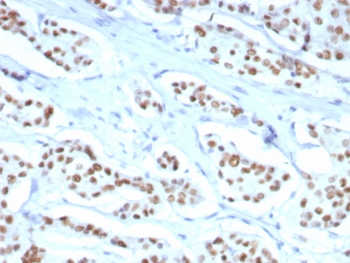
IHC staining of FFPE human breast carcinoma tissue with ER-A antibody (clone ESR1/8407R). HIER: boil tissue sections in pH 9 10mM Tris with 1mM EDTA for 20 min and allow to cool before testing.
SDS-PAGE analysis of purified, BSA-free ER-A antibody (clone ESR1/8407R) as confirmation of integrity and purity.
Availability 1-3 business days
Species Reactivity Human
Format Purified
Clonality Recombinant Rabbit Monoclonal
Isotype Rabbit IgG, kappa
Clone Name ESR1/8407R
Purity Protein A/G affinity
UniProt P03372
Localization Nucleus
Applications Immunohistochemistry (FFPE) : 1-2ug/ml for 30 min at RT
Limitations This ER-A antibody is available for research use only.
Review this product on BioCompare and get a $20 Amazon gift card

Related Products

Description

Estrogen receptor (ER) belongs to the steroid receptor superfamily of nuclear receptors. It is a protein with 553 amino acids. The receptor molecule has three domains, i.e. the central DNA-binding domain, the hormone-binding domain at the C-terminal, and the transcription-activating domain at the N-terminal. ER mediates regulatory functions of female sex steroids, mainly 17 (E2), on growth, differentiation and function in several target tissues, including female and male reproductive tract, mammary gland, and skeletal and cardiovascular systems. Studies have shown ER Alpha is present in the nuclei of epithelial cells in normal breast and endometrial tissues, as well as a subset of breast carcinomas. Studies with immunohistochemical assay show that positive steroid hormone status has predicted favorable overall, survival, independently of hormonal treatment. Secondly, ER Alpha can be used as a tumor marker, preferentially in combination with an antibody to progesterone receptor, e.g., in the classification of adenocarcinomas.

Application Notes

Optimal dilution of the ER-A antibody should be determined by the researcher.

Immunogen

A recombinant partial protein sequence (within amino acids 495-595) from the human protein was used as the immunogen for the ER-A antibody.

Storage

Aliquot the ER-A antibody and store frozen at -20oC or colder. Avoid repeated freeze-thaw cycles.

Cross
Bulk Quote Request Form
Name*:
Organization*:
Email*:
Phone Number*:
Catalog No.*:
Comments and Specifics(amount, formulation, etc.)*:
Validation code: Captchapackage Image


Can't read the image? click here to refresh.
    *required field

Your bulk quote request has been submitted successfully!

Please contact us if you have any questions.