• Tel: 858.663.9055
  • SeparatorEmail: info@nsjbio.com
  • Tel: 858.663.9055
  • Email: info@nsjbio.com
Home >> Antibodies >> Epoxide hydrolase 2 Antibody / EPHX2

Epoxide hydrolase 2 Antibody / EPHX2 [clone 29E21] (RQ8730)

  Catalog No Formulation Size Price (USD)  
Image RQ8730 Antibody in PBS with 0.02% sodium azide, 50% glycerol and 0.4-0.5mg/ml BSA 100 ul 439
Microvalidated Rab Mono Image
Bulk quote request
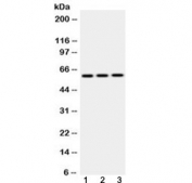
Western blot testing of human MCF7 cell lysate with Epoxide hydrolase 2 antibody. Predicted molecular weight ~63 kDa.
Availability 1-3 days
Species Reactivity Human
Format Purified
Clonality Rabbit Monoclonal
Isotype Rabbit IgG
Clone Name 29E21
Purity Affinity chromatography
UniProt P34913
Applications Western Blot : 1:500-1:2000
Limitations This Epoxide hydrolase 2 antibody is available for research use only.
Review this product on BioCompare and get a $20 Amazon gift card

Related Products

Description

Epoxide hydrolase 2 is a bifunctional enzyme. The C-terminal domain has epoxide hydrolase activity and acts on epoxides (alkene oxides, oxiranes) and arene oxides. It also plays a role in xenobiotic metabolism by degrading potentially toxic epoxides.

Application Notes

Optimal dilution of the Epoxide hydrolase 2 antibody should be determined by the researcher.

Immunogen

A synthetic peptide specific to human Epoxide hydrolase 2 protein was used as the immunogen for the Epoxide hydrolase 2 antibody.

Storage

Store the Epoxide hydrolase 2 antibody at -20oC.

Cross
Bulk Quote Request Form
Name*:
Organization*:
Email*:
Phone Number*:
Catalog No.*:
Comments and Specifics(amount, formulation, etc.)*:
Validation code: Captchapackage Image


Can't read the image? click here to refresh.
    *required field

Your bulk quote request has been submitted successfully!

Please contact us if you have any questions.