• Tel: 858.663.9055
  • SeparatorEmail: info@nsjbio.com
  • Tel: 858.663.9055
  • Email: info@nsjbio.com
Home >> Antibodies >> EPHB2 Antibody / Eph receptor B2

EPHB2 Antibody / Eph receptor B2 (RQ6049)

  Catalog No Formulation Size Price (USD)  
Image RQ6049 0.5mg/ml if reconstituted with 0.2ml sterile DI water 100 ug 439
Bulk quote request
Flow cytometry testing of human A549 cells with EPHB2 antibody at 1ug/million cells (blocked with goat sera); Red=cells alone, Green=isotype control, Blue= EPHB2 antibody.
Flow cytometry testing of mouse ANA-1 cells with EPHB2 antibody at 1ug/million cells (blocked with goat sera); Red=cells alone, Green=isotype control, Blue= EPHB2 antibody.
Flow cytometry testing of rat C6 cells with EPHB2 antibody at 1ug/million cells (blocked with goat sera); Red=cells alone, Green=isotype control, Blue= EPHB2 antibody.
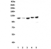
Western blot testing of human 1) U-87 MG, 2) A549, 3) PC-3, 4) Caco-2 and 5) K562 lysate with EPHB2 antibody. Predicted molecular weight ~117 kDa.
Immunofluorescent staining of FFPE human A431 cells with EPHB2 antibody (green) and DAPI nuclear stain (blue). HIER: steam section in pH6 citrate buffer for 20 min.
Availability 1-3 business days
Species Reactivity Human, Mouse, Rat
Format Antigen affinity purified
Clonality Polyclonal (rabbit origin)
Isotype Rabbit IgG
Purity Affinity purified
Buffer Lyophilized from 1X PBS with 2% Trehalose and 0.025% sodium azide
UniProt P29323
Applications Western Blot : 0.5-1ug/ml
Immunofluorescence : 2-4ug/ml
Flow Cytometry : 1-3ug/million cells
Direct ELISA : 0.1-0.5ug/ml
Limitations This EPHB2 antibody is available for research use only.
Review this product on BioCompare and get a $20 Amazon gift card

Related Products

Description

Ephrin type-B receptor 2 is a protein that in humans is encoded by the EPHB2 gene. This gene is mapped to 1p36.12. This gene encodes a member of the Eph receptor family of receptor tyrosine kinase transmembrane glycoproteins. These receptors are composed of an N-terminal glycosylated ligand-binding domain, a transmembrane region and an intracellular kinase domain. They bind ligands called ephrins and are involved in diverse cellular processes including motility, division, and differentiation. A distinguishing characteristic of Eph-ephrin signaling is that both receptors and ligands are competent to transduce a signaling cascade, resulting in bidirectional signaling. This protein belongs to a subgroup of the Eph receptors called EphB. Proteins of this subgroup are distinguished from other members of the family by sequence homology and preferential binding affinity for membrane-bound ephrin-B ligands. Allelic variants are associated with prostate and brain cancer susceptibility. Alternative splicing results in multiple transcript variants.

Application Notes

Optimal dilution of the EPHB2 antibody should be determined by the researcher.

Immunogen

Recombinant human protein (amino acids K278-K540) was used as the immunogen for the EPHB2 antibody.

Storage

After reconstitution, the EPHB2 antibody can be stored for up to one month at 4oC. For long-term, aliquot and store at -20oC. Avoid repeated freezing and thawing.

Cross
Bulk Quote Request Form
Name*:
Organization*:
Email*:
Phone Number*:
Catalog No.*:
Comments and Specifics(amount, formulation, etc.)*:
Validation code: Captchapackage Image


Can't read the image? click here to refresh.
    *required field

Your bulk quote request has been submitted successfully!

Please contact us if you have any questions.