• Tel: 858.663.9055
  • SeparatorEmail: info@nsjbio.com
  • Tel: 858.663.9055
  • Email: info@nsjbio.com
Home >> Antibodies >> EphA3 Antibody

EphA3 Antibody (F50564)

  Catalog No Formulation Size Price (USD)  
Image F50564-0.4ML In 1X PBS, pH 7.4, with 0.09% sodium azide 0.4 ml 429
Image
F50564-0.08ML In 1X PBS, pH 7.4, with 0.09% sodium azide 0.08 ml 199
Bulk quote request
Western blot analysis of EphA3 antibody and CHO cell lysate. Predicted molecular weight: 110/61 kDa (isoforms 1/2).
Western blot analysis of EphA3 antibody and 293 cell lysate either nontransfected (Lane 1) or transiently transfected with the EphA3 gene (2). Predicted molecular weight: 110/61 kDa (isoforms 1/2).
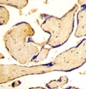
IHC analysis of FFPE human placenta tissue stained with EphA3 antibody
Availability 1-3 business days
Species Reactivity Human, Hamster
Format Purified
Clonality Polyclonal (rabbit origin)
Isotype Rabbit Ig
Purity Purified
UniProt P29320
Applications Western Blot : 1:1000
IHC (Paraffin) : 1:50-1:100
Limitations This EphA3 antibody is available for research use only.
Review this product on BioCompare and get a $20 Amazon gift card

Related Products

  • Applications : WB, IHC, ELISA
    Reactivity : Human
    Pred. Reactivity : Mouse
  • Applications : WB, IHC-P, IF, FACS, Direct ELISA
    Reactivity : Human

Description

Protein kinases are enzymes that transfer a phosphate group from a phosphate donor, generally the g phosphate of ATP, onto an acceptor amino acid in a substrate protein. By this basic mechanism, protein kinases mediate most of the signal transduction in eukaryotic cells, regulating cellular metabolism, transcription, cell cycle progression, cytoskeletal rearrangement and cell movement, apoptosis, and differentiation. With more than 500 gene products, the protein kinase family is one of the largest families of proteins in eukaryotes. The family has been classified in 8 major groups based on sequence comparison of their tyrosine (PTK) or serine/threonine (STK) kinase catalytic domains. The tyrosine kinase (TK) group is mainly involved in the regulation of cell-cell interactions such as differentiation, adhesion, motility and death. There are currently about 90 TK genes sequenced, 58 are of receptor protein TK (e.g. EGFR, EPH, FGFR, PDGFR, TRK, and VEGFR families), and 32 of cytosolic TK (e.g. ABL, FAK, JAK, and SRC families).

Application Notes

Titration of the EphA3 antibody may be required due to differences in protocols and secondary/substrate sensitivity.

Immunogen

A portion of amino acids 896-928 from the human protein was used as the immunogen for this EphA3 antibody.

Storage

Aliquot the EphA3 antibody and store frozen at -20oC or colder. Avoid repeated freeze-thaw cycles.

Cross
Bulk Quote Request Form
Name*:
Organization*:
Email*:
Phone Number*:
Catalog No.*:
Comments and Specifics(amount, formulation, etc.)*:
Validation code: Captchapackage Image


Can't read the image? click here to refresh.
    *required field

Your bulk quote request has been submitted successfully!

Please contact us if you have any questions.