• Tel: 858.663.9055
  • SeparatorEmail: info@nsjbio.com
  • Tel: 858.663.9055
  • Email: info@nsjbio.com
Home >> Antibodies >> Eph receptor A3 Antibody / EphA3

Eph receptor A3 Antibody / EphA3 (RQ6985)

  Catalog No Formulation Size Price (USD)  
Image RQ6985 0.5mg/ml if reconstituted with 0.2ml sterile DI water 100 ug 439
Bulk quote request
Immunofluorescent staining of FFPE human PC-3 cells with Eph receptor A3 antibody (green) and DAPI nuclear stain (blue). HIER: steam section in pH6 citrate buffer for 20 min.
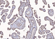
IHC staining of FFPE human placental tissue with Eph receptor A3 antibody. HIER: boil tissue sections in pH8 EDTA for 20 min and allow to cool before testing.
Western blot testing of human 1) MOLT4 and 2) placental tissue lysate with Eph receptor A3 antibody. Predicted molecular weight: 110/61 kDa (isoforms 1/2).
Flow cytometry testing of human PC-3 cells with Eph receptor A3 antibody at 1ug/million cells (blocked with goat sera); Red=cells alone, Green=isotype control, Blue= Eph receptor A3 antibody.
Availability 1-3 business days
Species Reactivity Human
Format Antigen affinity purified
Clonality Polyclonal (rabbit origin)
Isotype Rabbit IgG
Purity Antigen affinity purified
Buffer Lyophilized from 1X PBS with 2% Trehalose
UniProt P29320
Applications Western Blot : 0.5-1 ug/ml
Immunohistochemistry (FFPE) : 2-5ug/ml
Immunofluorescence : 5ug/ml
Flow Cytometry : 1-3ug/million cells
Direct ELISA : 0.1-0.5ug/ml
Limitations This Eph receptor A3 antibody is available for research use only.
Review this product on BioCompare and get a $20 Amazon gift card

Related Products

  • Applications : WB, IHC, ELISA
    Reactivity : Human
    Pred. Reactivity : Mouse
  • Applications : IHC, WB, ELISA
    Reactivity : Human, Hamster

Description

Ephrin Receptor EphA3, is also known as human embryo kinase(HEK) or Eph-like tyrosine kinase1(ETK1). Kinases that phosphorylate proteins on tyrosine residues(protein tyrosine kinases; PTKs), such as EPHA3, form a structurally related group of molecules that exhibit functional diversity. Genetic alterations that lead to the inappropriate activation or expression of PTKs may be oncogenic. Many growth factor receptors are PTKs, e.g., the receptors for epidermal growth factor(EGFR), platelet-derived growth factor(PDGFR1;PDGFR2), colony-stimulating factor-1(CSF1R), and stem cell growth factor. The EPHA3 gene is mapped to 3p11.2. Sequence comparison with other PTKs showed a high degree of homology with members of the EPH and ELK(EPHB1) families of receptor tyrosine kinases. Within axial nerves, establishment of discrete afferent and efferent pathways depends on coordinate signaling between coextending sensory and motor projections.

Application Notes

Optimal dilution of the Eph receptor A3 antibody should be determined by the researcher.

Immunogen

Recombinant human protein (amino acids D59-A514) was used as the immunogen for the Eph receptor A3 antibody.

Storage

After reconstitution, the Eph receptor A3 antibody can be stored for up to one month at 4oC. For long-term, aliquot and store at -20oC. Avoid repeated freezing and thawing.

Cross
Bulk Quote Request Form
Name*:
Organization*:
Email*:
Phone Number*:
Catalog No.*:
Comments and Specifics(amount, formulation, etc.)*:
Validation code: Captchapackage Image


Can't read the image? click here to refresh.
    *required field

Your bulk quote request has been submitted successfully!

Please contact us if you have any questions.