• Tel: 858.663.9055
  • SeparatorEmail: info@nsjbio.com
  • Tel: 858.663.9055
  • Email: info@nsjbio.com
Home >> Antibodies >> EpCAM Antibody / Epithelial Cell Adhesion Molecule

EpCAM Antibody / Epithelial Cell Adhesion Molecule [clone EGP40/8191R] (V4919)

  Catalog No Formulation Size Price (USD)  
Image V4919-100UG 0.2 mg/ml in 1X PBS with 0.1 mg/ml BSA (US sourced), 0.05% sodium azide 100 ug 539
Image
V4919-20UG 0.2 mg/ml in 1X PBS with 0.1 mg/ml BSA (US sourced), 0.05% sodium azide 20 ug 249
Image
V4919SAF-100UG 1 mg/ml in 1X PBS; BSA free, sodium azide free 100 ug 539
Microvalidated Recrabbitmono
Bulk quote request
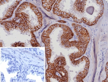
IHC staining of FFPE human prostate carcinoma tissue with EpCAM antibody (clone EGP40/8191R). Inset: PBS used in place of primary Ab (secondary Ab negative control). HIER: boil tissue sections in pH 9 10mM Tris with 1mM EDTA for 20 min and allow to cool before testing.
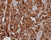
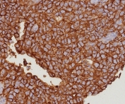
IHC staining of FFPE human bladder tissue with EpCAM antibody (clone EGP40/8191R). HIER: boil tissue sections in pH 9 10mM Tris with 1mM EDTA for 20 min and allow to cool before testing.
IHC staining of FFPE human mammary carcinoma tissue with EpCAM antibody (clone EGP40/8191R). HIER: boil tissue sections in pH 9 10mM Tris with 1mM EDTA for 20 min and allow to cool before testing.
Negative control: IHC testing of FFPE human tonsil tissue with EGP40 antibody (clone EGP40/8191R) at 2ug/ml. HIER: boil tissue sections in pH 9 10mM Tris with 1mM EDTA for 20 min and allow to cool before testing.
Availability 1-3 business days
Species Reactivity Human
Format Purified
Clonality Recombinant Rabbit Monoclonal
Isotype Rabbit IgG, kappa
Clone Name EGP40/8191R
Purity Protein A affinity
UniProt P16422
Localization Cell surface
Applications Immunohistochemistry (FFPE) : 1-2ug/ml for 30 min at RT
Limitations This EpCAM antibody is available for research use only.
Review this product on BioCompare and get a $20 Amazon gift card

Related Products

  • Applications : IHC-P
    Reactivity : Human, Mouse, Rat, Dog, Cat
    Microvalidated
  • Applications : FACS, IF, IHC-P
    Reactivity : Human
    Citation  Citations(21)
  • Applications : FACS
    Reactivity : Human. Does not react with rat. Other species not known.
    Citation  Citations(9)
  • Applications : FACS, IF, IHC-P
    Reactivity : Human
    Citation  Citations(9)
  • Applications : WB
    Reactivity : Human
  • Applications : FACS
    Reactivity : Human
    Citation  Citations(9)
  • Applications : FACS, IF, WB, IHC-P
    Reactivity : Human
  • Applications : IHC-P
    Reactivity : Human
    Citation  Citations(1)
  • Applications : WB, IHC-P
    Reactivity : Human
    Citation  Citations(6)
  • Applications : FACS, IF, WB, IHC-P
    Reactivity : Human
  • Applications : FACS, IF, WB, IHC-P
    Reactivity : Human
  • Applications : WB, ELISA
    Reactivity : Human
  • Applications : FACS, WB, ELISA
    Reactivity : Human
  • Applications : WB, ELISA
    Reactivity : Human
    Pred. Reactivity : Bovine, Pig
  • Applications : FACS, WB, ELISA
    Reactivity : Mouse, Human
    Pred. Reactivity : Rat
  • Applications : WB, ELISA
    Reactivity : Mouse
    Pred. Reactivity : Rat
  • Applications : WB, ELISA
    Reactivity : Human, Mouse, Rat

Description

Epitope of this mAb is mapped between aa 202-212 of EGP40, which is a 40-43kDa transmembrane epithelial glycoprotein, also identified as epithelial specific antigen (ESA), or epithelial cellular adhesion molecule (Ep-CAM). It is expressed on baso-lateral cell surface in most simple epithelia and a vast majority of carcinomas. Antibody to Ep-CAM has been used to distinguish adenocarcinoma from pleural mesothelioma and hepatocellular carcinoma. This antibody is also useful in distinguishing serous carcinomas of the ovary from mesothelioma.

Application Notes

Optimal dilution of the EpCAM antibody should be determined by the researcher.

Immunogen

A recombinant human EpCAM fragment from extracellular domain (within amino acids 100-224) was used as the immunogen for the EpCAM antibody. The epitope of this mAb is mapped between amino acids 202-212.

Storage

Aliquot the EpCAM antibody and store frozen at -20oC or colder. Avoid repeated freeze-thaw cycles.

Cross
Bulk Quote Request Form
Name*:
Organization*:
Email*:
Phone Number*:
Catalog No.*:
Comments and Specifics(amount, formulation, etc.)*:
Validation code: Captchapackage Image


Can't read the image? click here to refresh.
    *required field

Your bulk quote request has been submitted successfully!

Please contact us if you have any questions.