• Tel: 858.663.9055
  • SeparatorEmail: info@nsjbio.com
  • Tel: 858.663.9055
  • Email: info@nsjbio.com
Home >> Antibodies >> EpCAM Antibody Cocktail

EpCAM Antibody Cocktail [clone PAN-EpCAM] (V2694)

  Catalog No Formulation Size Price (USD)  
Image V2694-100UG 0.2 mg/ml in 1X PBS with 0.1 mg/ml BSA (US sourced) and 0.05% sodium azide 100 ug 539
Image
V2694-20UG 0.2 mg/ml in 1X PBS with 0.1 mg/ml BSA (US sourced) and 0.05% sodium azide 20 ug 249
Image
V2694SAF-100UG 1 mg/ml in 1X PBS; BSA free, sodium azide free 100 ug 539
Image
V2694IHC-7ML Prediluted in 1X PBS with 0.1 mg/ml BSA (US sourced) and 0.05% sodium azide; *For IHC use only* 7 ml 539
Bulk quote request
Western blot testing of human lung lysate with EpCAM antibody cocktail (clone PAN-EpCAM).
Flow cytometry testing of PFA-fixed human MCF7 cells with EpCAM antibody cocktail (clone PAN-EpCAM); Red=isotype control, Blue= EpCAM antibody cocktail antibody.
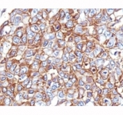
IHC: Formalin-fixed, paraffin-embedded human breast carcinoma stained with EpCAM antibody cocktail (PAN-EpCAM).
SDS-PAGE analysis of purified, BSA-free EpCAM antibody cocktail (clone PAN-EpCAM) as confirmation of integrity and purity.
Availability 1-3 business days
Species Reactivity Human
Format Purified
Clonality Monoclonal (mouse origin)
Isotype Mouse IgG, kappa
Clone Name PAN-EpCAM
Purity Protein G affinity chromatography
UniProt P16422
Localization Cell surface, cytoplasmic
Applications Flow Cytometry : 1-2ug/million cells
Immunofluorescence : 1-2ug/ml
Western Blot : 1-2ug/ml
Immunohistochemistry (FFPE) : 0.5-1ug/ml for 30 min at RT
Limitations This EpCAM antibody cocktail is available for research use only.
Review this product on BioCompare and get a $20 Amazon gift card

Related Products

  • Applications : IHC-P
    Reactivity : Human, Mouse, Rat, Dog, Cat
    Microvalidated
  • Applications : FACS, IF, IHC-P
    Reactivity : Human
    Citation  Citations(21)
  • Applications : FACS
    Reactivity : Human. Does not react with rat. Other species not known.
    Citation  Citations(9)
  • Applications : FACS, IF, IHC-P
    Reactivity : Human
    Citation  Citations(9)
  • Applications : WB
    Reactivity : Human
  • Applications : FACS
    Reactivity : Human
    Citation  Citations(9)
  • Applications : FACS, IF, WB, IHC-P
    Reactivity : Human
  • Applications : IHC-P
    Reactivity : Human
    Citation  Citations(1)
  • Applications : WB, IHC-P
    Reactivity : Human
    Citation  Citations(6)
  • Applications : FACS, IF, WB, IHC-P
    Reactivity : Human
  • Applications : FACS, IF, WB, IHC-P
    Reactivity : Human
  • Applications : WB, ELISA
    Reactivity : Human
  • Applications : FACS, WB, ELISA
    Reactivity : Human
  • Applications : WB, ELISA
    Reactivity : Human
    Pred. Reactivity : Bovine, Pig
  • Applications : FACS, WB, ELISA
    Reactivity : Mouse, Human
    Pred. Reactivity : Rat
  • Applications : WB, ELISA
    Reactivity : Mouse
    Pred. Reactivity : Rat
  • Applications : WB, ELISA
    Reactivity : Human, Mouse, Rat

Description

This is a cocktail of four highly specific monoclonal antibodies (EGP40/826, EGP40/837, EGP40/1110, EGP40/1120) that recognize extracellular as well as intracellular domains of the epithelial cellular adhesion molecule (Ep-CAM). It is a 40-43kDa transmembrane epithelial glycoprotein, identified as epithelial specific antigen (ESA), or Ep-CAM. Ep-CAM is expressed on baso-lateral cell surface in most simple epithelia and a vast majority of carcinomas. This epithelial antigen plays an important role as a tumor-cell marker in lymph nodes from patients with esophageal carcinoma otherwise classified as node-negative. Epithelial antigen has also been suggested as a discriminator between basal cell and baso-squamous carcinomas, and squamous cell carcinoma of the skin.

Application Notes

Optimal dilution of the EpCAM antibody cocktail should be determined by the researcher.

1. Staining of formalin-fixed tissues requires boiling tissue sections in 10mM Citrate buffer, pH 6.0, for 10-20 min followed by cooling at RT for 20 min
2. The prediluted format is supplied in a dropper bottle and is optimized for use in IHC. After epitope retrieval step (if required), drip mAb solution onto the tissue section and incubate at RT for 30 min.

Immunogen

Recombinant human protein was used as the immunogen for the EpCAM antibody cocktail.

Storage

Store the EpCAM antibody cocktail at 2-8oC (with azide) or aliquot and store at -20oC or colder (without azide).

Cross
Bulk Quote Request Form
Name*:
Organization*:
Email*:
Phone Number*:
Catalog No.*:
Comments and Specifics(amount, formulation, etc.)*:
Validation code: Captchapackage Image


Can't read the image? click here to refresh.
    *required field

Your bulk quote request has been submitted successfully!

Please contact us if you have any questions.