• Tel: 858.663.9055
  • SeparatorEmail: info@nsjbio.com
  • Tel: 858.663.9055
  • Email: info@nsjbio.com
Home >> Antibodies >> Epac1 Antibody / RAPGEF3

Epac1 Antibody / RAPGEF3 (RQ6703)

  Catalog No Formulation Size Price (USD)  
Image RQ6703 0.5mg/ml if reconstituted with 0.2ml sterile DI water 100 ug 439
Bulk quote request
Immunofluorescent staining of FFPE human T-47D cells with Epac1 antibody (green) and DAPI nuclear stain (blue). HIER: steam section in pH6 citrate buffer for 20 min.
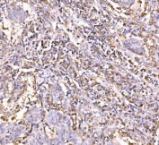
IHC staining of FFPE human ruptured spleen tissue with Epac1 antibody. HIER: boil tissue sections in pH8 EDTA for 20 min and allow to cool before testing.
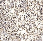
IHC staining of FFPE human lung cancer tissue with Epac1 antibody. HIER: boil tissue sections in pH8 EDTA for 20 min and allow to cool before testing.
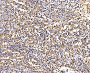
IHC staining of FFPE human pancreatic cancer tissue with Epac1 antibody. HIER: boil tissue sections in pH8 EDTA for 20 min and allow to cool before testing.
Western blot testing of 1) human HeLa, 2) human HepG2, 3) monkey COS-7, 4) human T-47D and 5) mouse RAW264.7 cell lysate with Epac1 antibody. Predicted molecular weight ~104 kDa.
Flow cytometry testing of human MCF7 cells with Epac1 antibody at 1ug/million cells (blocked with goat sera); Red=cells alone, Green=isotype control, Blue= Epac1 antibody.
Availability 1-3 business days
Species Reactivity Human, Mouse, Monkey
Format Antigen affinity purified
Clonality Polyclonal (rabbit origin)
Isotype Rabbit IgG
Purity Antigen affinity purified
Buffer Lyophilized from 1X PBS with 2% Trehalose
UniProt O95398
Applications Western Blot : 1-2ug/ml
Immunohistochemistry (FFPE) : 2-5ug/ml
Immunofluorescence (FFPE) : 5ug/ml
Flow Cytometry : 1-3ug/million cells
Direct ELISA : 0.1-0.5ug/ml
Limitations This Epac1 antibody is available for research use only.
Review this product on BioCompare and get a $20 Amazon gift card

Related Products

Description

Rap guanine nucleotide exchange factor 3 also known as exchange factor directly activated by cAMP 1 (EPAC1) or cAMP-regulated guanine nucleotide exchange factor I (cAMP-GEFI) is a protein that in humans is encoded by the RAPGEF3 gene. As the name suggests, EPAC proteins (EPAC1 and EPAC2) are a family of intracellular sensors for cAMP, and function as nucleotide exchange factors for the Rap subfamily of RAS-like small GTPases.

Application Notes

Optimal dilution of the Epac1 antibody should be determined by the researcher.

Immunogen

Recombinant human protein (amino acids H49-R881) was used as the immunogen for the Epac1 antibody.

Storage

After reconstitution, the Epac1 antibody can be stored for up to one month at 4oC. For long-term, aliquot and store at -20oC. Avoid repeated freezing and thawing.

Cross
Bulk Quote Request Form
Name*:
Organization*:
Email*:
Phone Number*:
Catalog No.*:
Comments and Specifics(amount, formulation, etc.)*:
Validation code: Captchapackage Image


Can't read the image? click here to refresh.
    *required field

Your bulk quote request has been submitted successfully!

Please contact us if you have any questions.