• Tel: 858.663.9055
  • SeparatorEmail: info@nsjbio.com
  • Tel: 858.663.9055
  • Email: info@nsjbio.com
Home >> Antibodies >> Epac1 Antibody / RAPGEF3

Epac1 Antibody / RAPGEF3 [clone AEOG-18] (RQ4808)

  Catalog No Formulation Size Price (USD)  
Image RQ4808 Antibody in PBS with 0.02% sodium azide, 50% glycerol and 0.4-0.5mg/ml BSA 100 ul 439
Microvalidated Rab Mono Image
Bulk quote request
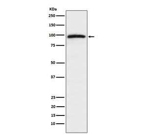
Western blot testing of human HeLa cell lysate with Epac1 antibody. Predicted molecular weight ~104 kDa.
Availability 1-2 weeks
Species Reactivity Human
Format Purified
Clonality Rabbit Monoclonal
Isotype Rabbit IgG
Clone Name AEOG-18
Purity Affinity purified
UniProt O95398
Applications Western Blot : 1:500-1:2000
Limitations This Epac1 antibody is available for research use only.
Review this product on BioCompare and get a $20 Amazon gift card

Related Products

  • Applications : WB, FACS, Direct ELISA
    Reactivity : Human, Mouse, Rat, Monkey
  • Applications : WB, IHC-P, IF, FACS, Direct ELISA
    Reactivity : Human, Mouse, Monkey

Description

The activation of RaP1 by cAMP is independent of PKA and is mediated by recently discovered family of guanine nucleotide exchange factors (GEFs) called cAMP-GEFs or Epacs. The Epac signaling therefore represents a novel mechanism for cAMP signaling with in the cAMP cascade.

Application Notes

Optimal dilution of the Epac1 antibody should be determined by the researcher.

Immunogen

A synthetic peptide specific to human Epac1 / RAPGEF3 was used as the immunogen for the Epac1 antibody.

Storage

Store the Epac1 antibody at -20oC.

Cross
Bulk Quote Request Form
Name*:
Organization*:
Email*:
Phone Number*:
Catalog No.*:
Comments and Specifics(amount, formulation, etc.)*:
Validation code: Captchapackage Image


Can't read the image? click here to refresh.
    *required field

Your bulk quote request has been submitted successfully!

Please contact us if you have any questions.