• Tel: 858.663.9055
  • SeparatorEmail: info@nsjbio.com
  • Tel: 858.663.9055
  • Email: info@nsjbio.com
Home >> Antibodies >> Ep-CAM Antibody

Ep-CAM Antibody [clone EGP40/1798] (V3463)

  Catalog No Formulation Size Price (USD)  
Image V3463-100UG 0.2 mg/ml in 1X PBS with 0.1 mg/ml BSA (US sourced) and 0.05% sodium azide 100 ug 539
Image
V3463-20UG 0.2 mg/ml in 1X PBS with 0.1 mg/ml BSA (US sourced) and 0.05% sodium azide 20 ug 249
Image
V3463SAF-100UG 1 mg/ml in 1X PBS; BSA free, sodium azide free 100 ug 539
Microvalidated
Bulk quote request
Immunofluorescent staining of human MCF-7 cells with Ep-CAM antibody (green, clone EGP40/1798) and Reddot nuclear stain (red).
Western blot testing of human MCF7 cell lysate with Ep-CAM antibody (clone EGP40/1798). Expected molecular weight: ~35 kDa (unmodified), 40-43 kDa (glycosylated).
Analysis of HuProt(TM) microarray containing more than 19,000 full-length human proteins using Ep-CAM antibody (clone EGP40/1798). These results demonstrate the foremost specificity of the EGP40/1798 mAb.
Z- and S- score: The Z-score represents the strength of a signal that an antibody (in combination with a fluorescently-tagged anti-IgG secondary Ab) produces when binding to a particular protein on the HuProt(TM) array. Z-scores are described in units of standard deviations (SD's) above the mean value of all signals generated on that array. If the targets on the HuProt(TM) are arranged in descending order of the Z-score, the S-score is the difference (also in units of SD's) between the Z-scores. The S-score therefore represents the relative target specificity of an Ab to its intended target.
SDS-PAGE analysis of purified, BSA-free Ep-CAM antibody (clone EGP40/1798) as confirmation of integrity and purity.
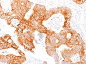
IHC testing of FFPE human colorectal carcinoma and Ep-CAM antibody (clone EGP40/1798). Required HIER: steam sections in pH6 citrate buffer for 10-20 min.
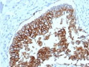
IHC testing of FFPE dog bladder and Ep-CAM antibody (clone EGP40/1798). Required HIER: steam sections in pH6 citrate buffer for 10-20 min.
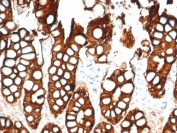
IHC testing of FFPE cat small intestine and Ep-CAM antibody (clone EGP40/1798). Required HIER: steam sections in pH6 citrate buffer for 10-20 min.
Availability 1-3 business days
Species Reactivity Human, Dog, Cat
Format Purified
Clonality Monoclonal (mouse origin)
Isotype Mouse IgG2b, kappa
Clone Name EGP40/1798
Purity Protein G affinity chromatography
UniProt P16422
Localization Cell surface, cytoplasmic
Applications ELISA : 2-4ug/ml (order BSA/azide-free format)
Flow Cytometry : 0.5-1ug/10^6 cells
Immunofluorescence : 1-2ug/ml
Immunofluorescence : 1-2ug/ml
Immunohistochemistry (FFPE) : 0.5-1ug/ml for 30 min at RT
Limitations This Ep-CAM antibody is available for research use only.
Review this product on BioCompare and get a $20 Amazon gift card

Related Products

  • Applications : IHC-P
    Reactivity : Human, Mouse, Rat, Dog, Cat
    Microvalidated
  • Applications : FACS, IF, IHC-P
    Reactivity : Human
    Citation  Citations(21)
  • Applications : FACS
    Reactivity : Human. Does not react with rat. Other species not known.
    Citation  Citations(9)
  • Applications : FACS, IF, IHC-P
    Reactivity : Human
    Citation  Citations(9)
  • Applications : WB
    Reactivity : Human
  • Applications : FACS
    Reactivity : Human
    Citation  Citations(9)
  • Applications : FACS, IF, WB, IHC-P
    Reactivity : Human
  • Applications : IHC-P
    Reactivity : Human
    Citation  Citations(1)
  • Applications : WB, IHC-P
    Reactivity : Human
    Citation  Citations(6)
  • Applications : FACS, IF, WB, IHC-P
    Reactivity : Human
  • Applications : FACS, IF, WB, IHC-P
    Reactivity : Human
  • Applications : WB, ELISA
    Reactivity : Human
  • Applications : FACS, WB, ELISA
    Reactivity : Human
  • Applications : WB, ELISA
    Reactivity : Human
    Pred. Reactivity : Bovine, Pig
  • Applications : FACS, WB, ELISA
    Reactivity : Mouse, Human
    Pred. Reactivity : Rat
  • Applications : WB, ELISA
    Reactivity : Mouse
    Pred. Reactivity : Rat
  • Applications : WB, ELISA
    Reactivity : Human, Mouse, Rat

Description

EGP40 is a 40-43 kDa transmembrane epithelial glycoprotein, also identified as epithelial specific antigen (ESA), or epithelial cellular adhesion molecule (Ep-CAM). It is expressed on baso-lateral cell surface in most simple epithelia and a vast majority of carcinomas. This antibody has been used to distinguish adenocarcinoma from pleural mesothelioma and hepatocellular carcinoma. This antibody is also useful in distinguishing serous carcinomas of the ovary from mesothelioma.

Application Notes

Titering of the Ep-CAM antibody may be required for optimal performance.

Immunogen

A human partial recombinant protein corresponding to amino acids 100-224 (extracellular domain) was used as the immunogen for the Ep-CAM antibody.

Storage

Store the Ep-CAM antibody at 2-8oC (with azide) or aliquot and store at -20oC or colder (without azide).

Cross
Bulk Quote Request Form
Name*:
Organization*:
Email*:
Phone Number*:
Catalog No.*:
Comments and Specifics(amount, formulation, etc.)*:
Validation code: Captchapackage Image


Can't read the image? click here to refresh.
    *required field

Your bulk quote request has been submitted successfully!

Please contact us if you have any questions.