• Tel: 858.663.9055
  • SeparatorEmail: info@nsjbio.com
  • Tel: 858.663.9055
  • Email: info@nsjbio.com
Home >> Antibodies >> ENPP2 Antibody / Autotaxin

ENPP2 Antibody / Autotaxin (F54782)

  Catalog No Formulation Size Price (USD)  
Image F54782-0.4ML In 1X PBS, pH 7.4, with 0.09% sodium azide 0.4 ml 429
Image
F54782-0.08ML In 1X PBS, pH 7.4, with 0.09% sodium azide 0.08 ml 199
Bulk quote request
Western blot testing of mouse cerebellum tissue lysate with ENPP2 antibody. Expected molecular weight: 99-125 kDa depending on glycosylation level.
Western blot testing of human Y79 cell lysate with ENPP2 antibody. Expected molecular weight: 99-125 kDa depending on glycosylation level.
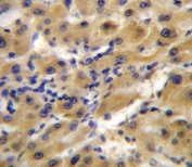
IHC testing of FFPE human hepatocellular carcinoma tissue with ENPP2 antibody. HIER: steam section in pH6 citrate buffer for 20 min and allow to cool prior to staining.
Flow cytometry testing of human MDA-MB-435 cells with ENPP2 antibody; Blue=isotype control, Green= ENPP2 antibody.
Availability 1-3 business days
Species Reactivity Human
Format Purified
Clonality Polyclonal (rabbit origin)
Isotype Rabbit Ig
Purity Purified
UniProt Q13822
Applications Flow Cytometry : 1:25 (1x10e6 cells)
Western Blot : 1:500-1:1000
Immunohistochemistry (FFPE) : 1:25
Limitations This ENPP2 antibody is available for research use only.
Review this product on BioCompare and get a $20 Amazon gift card

Related Products

Description

ENPP2 functions as both a phosphodiesterase, which cleaves phosphodiester bonds at the 5' end of oligonucleotides, and a phospholipase, which catalyzes production of lysophosphatidic acid (LPA) in extracellular fluids. LPA evokes growth factor-like responses including stimulation of cell proliferation and chemotaxis. This protein stimulates the motility of tumor cells and has angiogenic properties, and its expression is upregulated in several kinds of carcinomas. This protein is secreted and further processed to make the biologically active form.

Application Notes

The stated application concentrations are suggested starting points. Titration of the ENPP2 antibody may be required due to differences in protocols and secondary/substrate sensitivity.

Immunogen

A portion of amino acids 401-430 from the human protein was used as the immunogen for the ENPP2 antibody.

Storage

Aliquot the ENPP2 antibody and store frozen at -20oC or colder. Avoid repeated freeze-thaw cycles.

Cross
Bulk Quote Request Form
Name*:
Organization*:
Email*:
Phone Number*:
Catalog No.*:
Comments and Specifics(amount, formulation, etc.)*:
Validation code: Captchapackage Image


Can't read the image? click here to refresh.
    *required field

Your bulk quote request has been submitted successfully!

Please contact us if you have any questions.