• Tel: 858.663.9055
  • SeparatorEmail: info@nsjbio.com
  • Tel: 858.663.9055
  • Email: info@nsjbio.com
Home >> Antibodies >> ENOX2 Antibody

ENOX2 Antibody (R36443)

  Catalog No Formulation Size Price (USD)  
Image R36443-100UG 0.5 mg/ml in 1X TBS, pH7.3, with 0.5% BSA (US sourced) and 0.02% sodium azide 100 ug 449
Bulk quote request
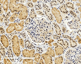
IHC testing of FFPE human kidney with ENOX2 antibody at 4ug/ml. HIER: steamed with pH9 Tris/EDTA buffer, HRP-staining.
Availability 1-3 business days
Species Reactivity Human
Format Antigen affinity purified
Clonality Polyclonal (goat origin)
Isotype Goat Ig
Purity Antigen affinity
Gene ID 10495
Localization Cytoplasmic, membranous
Applications IHC (FFPE) : 2-4ug/ml
Limitations This ENOX2 antibody is available for research use only.
Review this product on BioCompare and get a $20 Amazon gift card

Description

Additional name(s) for this target protein: Ecto NOX disulfide thiol exchanger 2; tNOX; COVA1; Cytosolic ovarian carcinoma antigen 1; APK1

Application Notes

Optimal dilution of the ENOX2 antibody should be determined by the researcher.

Immunogen

Amino acids EKLKDDKLQVEK were used as the immunogen for this ENOX2 antibody.

Storage

Aliquot and store the ENOX2 antibody at -20oC.

Cross
Bulk Quote Request Form
Name*:
Organization*:
Email*:
Phone Number*:
Catalog No.*:
Comments and Specifics(amount, formulation, etc.)*:
Validation code: Captchapackage Image


Can't read the image? click here to refresh.
    *required field

Your bulk quote request has been submitted successfully!

Please contact us if you have any questions.