• Tel: 858.663.9055
  • SeparatorEmail: info@nsjbio.com
  • Tel: 858.663.9055
  • Email: info@nsjbio.com
Home >> Antibodies >> Endoplasmic reticulum resident protein 29 Antibody / ERP29

Endoplasmic reticulum resident protein 29 Antibody / ERP29 (F54790)

  Catalog No Formulation Size Price (USD)  
Image F54790-0.4ML In 1X PBS, pH 7.4, with 0.09% sodium azide 0.4 ml 429
Image
F54790-0.08ML In 1X PBS, pH 7.4, with 0.09% sodium azide 0.08 ml 199
Bulk quote request
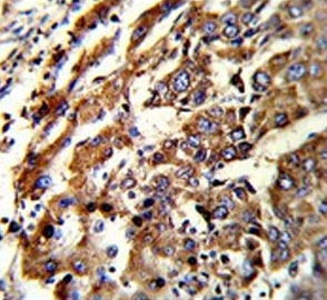
IHC testing of FFPE human hepatocellular carcinoma tissue with Endoplasmic reticulum resident protein 29 antibody. HIER: steam section in pH6 citrate buffer for 20 min and allow to cool prior to staining.
Western blot testing of 1) non-transfected and 2) transfected 293 cell lysate with Endoplasmic reticulum resident protein 29 antibody.
Western blot testing of human 1) A2058, 2) A375, 3) MCF7, 4) NCI-H460 and 5) Y79 cell lysate with Endoplasmic reticulum resident protein 29 antibody. Predicted molecular weight: ~29 kDa.
Flow cytometry testing of human NCI-H292 cells with Endoplasmic reticulum resident protein 29 antibody; Blue=isotype control, Green= Endoplasmic reticulum resident protein 29 antibody.
Availability 1-3 business days
Species Reactivity Human
Format Purified
Clonality Polyclonal (rabbit origin)
Isotype Rabbit Ig
Purity Purified
UniProt P30040
Localization Cytoplasmic
Applications Flow Cytometry : 1:25 (1x10e6 cells)
Immunohistochemistry (FFPE) : 1:25
Western Blot : 1:500-1:1000
Limitations This Endoplasmic reticulum resident protein 29 antibody is available for research use only.
Review this product on BioCompare and get a $20 Amazon gift card

Related Products

  • Applications : WB, ELISA (peptide)
    Reactivity : Human
    Pred. Reactivity : Cow, Dog, Pig, Rat
  • Applications : WB, IHC-P, IF, FACS, Direct ELISA
    Reactivity : Human, Monkey, Mouse, Rat

Description

ERP29 shows sequence similarity to the protein disulfide isomerase family. However, it lacks the thioredoxin motif characteristic of this family, suggesting that this protein does not function as a disulfide isomerase. The protein dimerizes and is thought to play a role in the processing of secretory proteins within the ER.

Application Notes

The stated application concentrations are suggested starting points. Titration of the Endoplasmic reticulum resident protein 29 antibody may be required due to differences in protocols and secondary/substrate sensitivity.

Immunogen

A portion of amino acids 151-179 from the human protein was used as the immunogen for the Endoplasmic reticulum resident protein 29 antibody.

Storage

Aliquot the Endoplasmic reticulum resident protein 29 antibody and store frozen at -20oC or colder. Avoid repeated freeze-thaw cycles.

Cross
Bulk Quote Request Form
Name*:
Organization*:
Email*:
Phone Number*:
Catalog No.*:
Comments and Specifics(amount, formulation, etc.)*:
Validation code: Captchapackage Image


Can't read the image? click here to refresh.
    *required field

Your bulk quote request has been submitted successfully!

Please contact us if you have any questions.